Adv Sci:南昌大学刘安文/陈磊峰发现放射免疫治疗诱导心脏纤维化的元凶:成纤维细胞来源的IL-6及其靶向干预
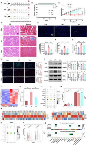
放疗联合免疫治疗(放射免疫治疗)展现出良好的抗肿瘤疗效,但同时引发心脏毒性风险,其具体机制尚不明确。2026年2月20日,南昌大学刘安文、陈磊峰共同通讯在Advanced Science(IF=14.1)在线发表题为“Decoding the Cardiac Immune Microenvironment and Fibroblast Crosstalk in Radiotherapy Combined with Immunotherapy-Induced Cardiac Fibrosis Based on Single-Cell Transcriptomic Analysis”的研究论文。研究使用临床前模型在放射免疫治疗后第28天、3个月和5个月评估心功能;进行单细胞RNA测序及分子生物学实验;采用IL-6敲除小鼠与托珠单抗(IL-6R抑制剂)开展靶向干预。放射免疫疗法加剧了心脏纤维化,增强了成纤维细胞与免疫细胞的交互作用,同时激活了主要源自成纤维细胞的IL-6信号。在接受胸部放疗联合免疫治疗的患者中,同样观察到血清IL-6水平升高。IL-6敲除与托珠单抗治疗均可有效减轻急性心脏损伤、炎症及纤维化。托珠单抗可能抑制成纤维细胞通过IL-6介导的自身活化及CCR2+巨噬细胞活化,而这些细胞亚群在放射免疫治疗诱导的心脏损伤中表现出更高的促纤维化评分。此外,放射免疫治疗后心脏微环境中的免疫检查点分子也发生改变;高IL-6信号活性的巨噬细胞CD86表达升高,而托珠单抗处理可使其降低。本研究证实成纤维细胞-免疫细胞相互作用,尤其是IL-6介导的成纤维细胞-巨噬细胞交互作用,是放射免疫治疗诱导心脏纤维化的关键机制。IL-6R抑制剂托珠单抗具有减轻此类心脏毒性的潜在治疗价值。
近年来,对肿瘤免疫微环境和免疫逃逸机制的深刻认识引发了肿瘤治疗的范式转变,以靶向PD‑1/PD‑L1和CTLA‑4为代表的免疫检查点抑制剂(ICI)彻底改变了恶性肿瘤的治疗模式。临床试验与真实世界应用均显示,包含ICI的联合治疗策略展现出巨大前景。以PACIFIC研究为代表的多项研究表明,在放化疗后给予抗PD‑1/PD‑L1治疗可显著延长肺癌患者的总生存期。然而,ICI治疗介导的免疫毒性,叠加放疗所诱发的不良反应,可能对胸腔重要脏器造成累积性损伤,最终限制联合方案的疗效,并降低肿瘤患者的生活质量。已有研究证实,放疗可导致照射区域组织损伤,而胸部放疗过程中心脏损伤往往难以避免。作为最严重的远期并发症,放射性心脏损伤(RIHD)均会显著降低患者的长期生存预后。ICI触发的免疫相关不良事件(irAEs)可累及多器官损伤。ICI诱发的心肌炎因死亡率极高而备受关注。心脏纤维化是免疫治疗或放疗所致心肌损伤共同的核心病理过程。尽管纤维化初期具有保护作用,但持续进展的纤维化可导致心室僵硬、心力衰竭及心律失常性猝死。目前已有部分研究探讨单纯放疗或单纯ICI所致心脏损伤的机制,但二者联合治疗引发心脏损伤的风险及潜在机制仍处于初步探索阶段。值得注意的是,两项针对局部晚期非小细胞肺癌(NSCLC)的临床研究显示,接受根治性放化疗后ICI维持治疗的患者,其心血管事件发生率高于安慰剂维持组。关于放疗联合ICI诱发心脏毒性的机制,有限研究提示其可能与心肌微环境中CD8⁺T淋巴细胞浸润增加、自身免疫反应增强并进一步加重心肌损伤有关。鉴于放疗联合ICI方案在肿瘤领域的应用日益广泛,深入阐明其心脏毒性的内在机制,对于预防和管理该联合方案相关的心血管损伤至关重要。为全面解析该联合治疗所致心脏损伤的复杂调控机制,本研究基于放射免疫治疗小鼠模型构建了单细胞转录组测序(scRNA‑seq)图谱,系统解析了心脏各细胞组分及其亚群比例变化,并揭示了心脏微环境中成纤维细胞与免疫细胞之间复杂的信号级联反应及调控网络。此外,本研究结合临床与临床前证据,旨在筛选可减轻心脏纤维化的潜在治疗靶点。https://doi.org/10.1002/advs.202519216