
近日,广东省人民医院赣州医院(赣州市心血管病医院)肿瘤中心放疗科在李巍主任、广东省人民医院任陈主任的带领下,吴露老师、吕凤泉老师专家指导,联合瓦里安官方工程师,成功实施了全市首例HyperArc(超弧刀)对于颅内多发转移瘤的精准放疗,实现了里程碑式的重大技术突破。
【HyperArc】
HyperArc是瓦里安最新研发的单中心非共面立体定向放疗技术,主要用于治疗颅内单发或多发的肿瘤。它能提供高精度、高效率、高安全、高自动化、低副作用的一键式治疗,也被称作 “超弧刀”。其治疗角度从传统旋转调强放疗的360°增加到900°,从1个弧面增加到4个弧面,能从更多方向照射肿瘤,提高靶区覆盖率和适形度。

【核心优势】
一、高精度:具备亚毫米级精度、10毫秒级的快速系统响应速度,治疗精度高。
二、高安全性:治疗区域之外的剂量跌落非常快,进一步保护正常脑组织,减轻放疗副反应。
三、多病灶治疗优势:“一心多靶” 技术可同时精准锁定多达数十个转移瘤病灶,一键式清除多个病灶。
四、高效率:与传统非共面治疗相比,单次治疗时间可由20余分钟减少到7分钟左右,提升了患者的舒适度。
五、降低就医成本:治疗次数较少,降低患者的就医成本。
【案例】
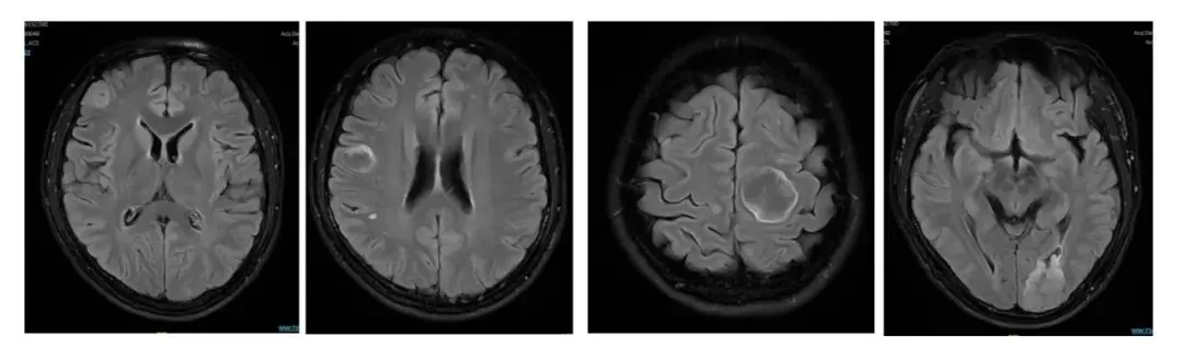
患者邹某某,2025年12月19日因“诊断肺恶性肿瘤1月余,头晕头痛 2日”就诊我院肿瘤内科。影像学检查显示双侧大脑半球多发占位性病变,考虑多发转移瘤。经充分讨论分析后,拟行颅脑转移灶 HyperArc 放疗。
[放影像学图片]

【双面罩固定带来高重复性精确治疗】
12月23日,在广东省人民医院专家全程指导下,我院医疗团队对患者进行了全程无创定位,采用专用于HyperArc的双面罩固定,实现对肿瘤的高精度定位与治疗。

【剂量分布高度聚焦,保护正常器官】
定位结束后,广东省人民医院的任陈主任和吴露老师对靶区和危及器官进行了勾画审核,再由我院物理师与Varian工程师制出最终用于治疗的计划。每一步的推进都由广东省人民医院的专家亲力审核评判,以保证治疗的安全可靠。
通过剂量分布云图可以看到,相比其他技术,HyperArc可以使射线剂量聚焦在肿瘤靶区,靶区外剂量跌落迅速,有效保护了临近重要器官和正常脑组织。

、
【治疗流程安全高效,患者体验良好】
12月24日,患者正式上机治疗,实录治疗时长仅4分19秒,过程中及结束后无任何不适。而同天治疗的另一位患者采用的是传统手动移床的非共面放射治疗,由于每个治疗弧面的角度都需要治疗师手动操作,单次治疗则需要20余分钟。
HyperArc高端的一键式自动化治疗,使得治疗期间技师无需进入机房进行转床,大大提高了治疗效率,提升了患者体验。
总体来说,HyperArc在治疗精度、效率、多病灶处理及正常组织保护上优势显著,特别适用于颅内多发转移瘤。随着医疗技术发展,HyperArc这类先进放疗技术会给更多肿瘤患者带来希望。
HyperArc 治疗对设备要求极高,目前多数医疗机构暂无法开展。我院配备的TrueBeam 直线加速器,是全球功能最全的新一代放疗设备,版本先进、配置完善,既能满足各类常规放疗需求,更可支撑 HyperArc 等前沿技术的临床应用,稳居行业技术前沿。同时,广东省人民医院放疗科专家团队常驻我院放疗科,用专业医疗实力守护群众健康。
广东省人民医院赣州医院(赣州市心血管病医院)肿瘤中心A栋负1楼放疗科
咨询电话:0797-820 8703(放疗科)
欢迎致电咨询!
