当前位置:首页>南昌>J Hazard Mater | 南昌大学二附院耳鼻喉科刘月辉教授团队揭示PM2.5促进变应性鼻炎发病机制

J Hazard Mater | 南昌大学二附院耳鼻喉科刘月辉教授团队揭示PM2.5促进变应性鼻炎发病机制

  • 2026-04-04 05:14:39
J Hazard Mater | 南昌大学二附院耳鼻喉科刘月辉教授团队揭示PM2.5促进变应性鼻炎发病机制

点击蓝字 关注我们

南昌大学第二附属医院耳鼻喉科   刘月辉教授

研究背景

Background

细颗粒物(PM2.5)是一种主要的空气污染物,通过引发炎症在加重过敏性鼻炎(AR)等呼吸系统疾病方面起着关键作用。尽管其与AR的关联已得到充分证实,但PM2.5诱发细胞焦亡以及破坏鼻上皮屏障完整性的具体机制仍不清楚。

 近日,南昌大学第二附属医院耳鼻喉科刘月辉教授教授团队在国际期刊Journal of Hazardous Materials(中科院1区,JCR Q1, IF=12.2)在线发表论文PM2.5 exacerbates nasal epithelial barrier dysfunction in allergic rhinitis by inducing NLRP3-mediated pyroptosis via the AhR/CYP1A1/ROS axis。该研究发现与对照组相比,AR 患者鼻黏膜中NLRP3炎性小体和焦亡相关蛋白的水平显著升高,PM2.5暴露导致鼻上皮细胞和AR小鼠模型中这些标志物呈剂量依赖性增加。使用 NLRP3激动剂和抑制剂进行的功能研究证实,PM2.5诱导NLRP3介导的细胞焦亡,导致紧密连接蛋白降解以及上皮屏障完整性受损。机制研究显示,PM2.5可激活芳烃受体(AhR)通路,促进细胞色素P450 1A1(CYP1A1)的转录,并增加活性氧(ROS)的生成。AhR表达下调可减轻PM2.5诱导的细胞焦亡和上皮屏障功能障碍,而CYP1A1过表达则逆转了这些保护作用,这突显了AhR/CYP1A1/ROS轴在介导PM2.5诱导的上皮损伤中的关键作用。总之,本研究揭示了PM2.5通过AhR/CYP1A1/ROS信号通路促进 NLRP3介导的细胞焦亡的新机制,最终导致上皮屏障破坏和哮喘加重。这些发现强调了减少 PM2.5暴露和减轻其对呼吸系统健康有害影响的迫切需求。

前言

 空气污染仍是全球重大的健康挑战,对呼吸系统和心血管健康有着深远的影响。由于其微小的尺寸,PM2.5能够轻易穿透呼吸系统和循环系统,从而导致严重的健康后果。流行病学研究表明,PM2.5水平升高与过敏性鼻炎(AR)风险和严重程度的增加有很强的关联。

 PM2.5是导致过敏性鼻炎的一个关键环境风险因素,主要是因为它能够破坏鼻上皮屏障,而鼻上皮屏障在维持黏膜稳态和保护呼吸道免受过敏原和病原体侵害方面起着至关重要的作用。在变应性鼻炎(AR)中,过敏原通过削弱紧密连接(TJs)破坏这一屏障,使过敏原得以渗透入鼻黏膜,从而导致免疫致敏和2型炎症反应。鼻上皮屏障损伤的程度与鼻部炎症的严重程度相关,并被认为是AR进展的关键标志。环境污染物,尤其是PM2.5,会加剧这种功能障碍,加重AR症状。然而,PM2.5在AR 中损害鼻上皮细胞并破坏屏障完整性的具体机制仍不清楚。

最新研究表明,细胞焦亡这种高度炎症性的程序性细胞死亡形式在上皮屏障功能障碍中起着关键作用。对特应性皮炎和克罗恩病等疾病的研究表明,细胞焦亡失调与上皮屏障功能障碍有关,抑制细胞焦亡可减轻组织损伤。此外,环境污染物如烟草烟雾和PM2.5可激活 NLRP3炎性小体,并诱导气道上皮细胞发生细胞焦亡。尽管近年来有关细胞焦亡在气道炎症中作用的研究有所增加,但PM2.5诱导的鼻上皮细胞细胞焦亡对鼻上皮屏障功能的直接影响及其具体分子调控机制仍不清楚。

主要结果

结果1:PM2.5有助于鼻上皮细胞中NLRP3炎性小体的激活和细胞焦亡

      首先,作者为了探究NLRP3炎性小体激活、细胞焦亡与AR之间的关系,从32名参与者中收集了鼻黏膜组织,其中包括16名AR患者和16名健康对照者。这些参与者的特征详见表 1。正如预期的那样,与对照组相比,AR组中与NLRP3炎性小体激活和细胞焦亡相关的mRNA和蛋白质水平显著升高(图 1A-C)。

AR中NLRP3炎性小体激活和细胞焦亡标志物上调

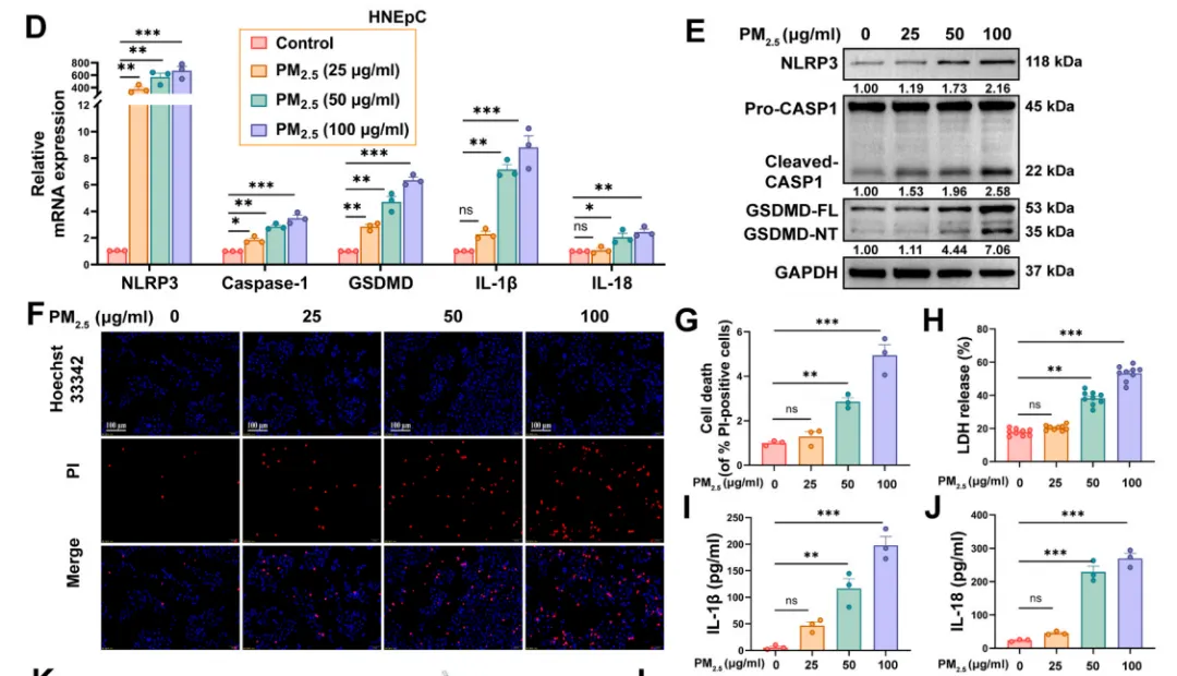
      为了进一步探究这一机制,作者将人鼻上皮细胞(HNEpCs)暴露于不同浓度的 PM2.5(0、25、50和100 ug/ml)中,并评估了细胞内 NLRP3 炎性小体激活和细胞焦亡的变化情况。PM2.5暴露导致HNEpC细胞活力呈浓度依赖性下降(图 S1A 和 B)。与此一致的是,随着PM2.5浓度的升高,NLRP3炎性小体成分的表达以及细胞焦亡相关标志物的表达逐渐增加(图 1D 和 E)。Hoechst/PI染色(图 1F和G)、乳酸脱氢酶(LDH)释放测定(图 1H)以及酶联免疫吸附测定(ELISA)分析(图 1I-J)进一步证实,PM2.5暴露显著加重了细胞焦亡,并促进了炎性细胞因子IL-1β和IL-18的分泌。作者选择 100 ug/ml作为后续PM2.5处理的最佳浓度。

PM2.5促进鼻上皮细胞中 NLRP3 炎性小体的激活和细胞焦亡

图 S1. PM2.5刺激以剂量依赖的方式诱导HNEpC细胞死亡

     为了在体内模型中验证这些发现,作者采用HDM致敏建立小鼠AR模型,并分别在有或无PM2.5暴露的情况下进行实验。实验方案如图1K所示,其中雄性 C57BL/6小鼠通过HDM/氢氧化铝主动致敏,随后分别接受单独的HDM激发或HDM与PM2.5联合激发。与体外实验结果一致,PM2.5暴露显著增强了AR小鼠鼻黏膜中NLRP3炎性小体的激活和细胞焦亡(图 1L和M),同时血清中IL-1β 和IL-18的水平显著升高(图 1N和O)。此外,透射电子显微镜(TEM)分析证实PM2.5诱导了AR 小鼠鼻黏膜上皮细胞的细胞焦亡,表现为细胞肿胀、固缩、膜完整性丧失以及大量细胞内物质释放(图 1P)。这些形态特征与体外观察到的极为相似。总之,这些发现表明PM2.5促进鼻上皮细胞中 NLRP3 炎性小体的激活和细胞焦亡,导致上皮损伤和变应性鼻炎炎症反应加剧。

PM2.5促进AR小鼠鼻黏膜中NLRP3炎性小体的激活和细胞焦亡

结果2:NLRP3介导的细胞焦亡在PM2.5加重变应性鼻炎上皮屏障功能障碍中起关键作用

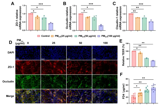
      有证据表明,肠上皮细胞的细胞焦亡会通过破坏肠上皮的完整性而加重炎症性肠病。然而,目前尚无研究探讨PM2.5诱导的细胞焦亡对AR患者鼻上皮屏障功能的影响。鉴于现有研究中的这一空白,作者进一步探究了PM2.5暴露对鼻上皮功能的影响。研究结果表明,PM2.5暴露显著提高了AR小鼠血清中尘螨特异性IgE的水平(图 S2A),并上调了Th2细胞因子(图 S2B),从而加重了鼻部症状(图 S2C)。组织病理学检查显示,PM2.5通过增加炎症细胞浸润、增强黏液分泌(图 2A)以及显著破坏纤毛超微结构(图 2B)加剧了AR小鼠的炎症。值得注意的是,PM2.5暴露与AR小鼠鼻黏膜中关键紧密连接分子(包括ZO-1、Occludin和Claudin-1)表达的降低有关(图 2C和E)。透射电子显微镜分析进一步证实了紧密连接(TJs)的结构严重受损(图2D)。同样地,体外实验表明,暴露于不断增加的PM2.5浓度下的HNEpCs紧密连接mRNA和蛋白表达呈剂量依赖性下调(图 S3A-D)。此外,PM2.5暴露导致鼻上皮屏障出现不连续性(图 S3E和F)。此外,对AR患者鼻黏膜样本的分析证实了紧密连接mRNA 表达显著下调(图 2G)。有趣的是,相关性分析显示鼻黏膜中紧密连接表达与NLRP3和GSDMD水平呈负相关(图 2H-M)。综上所述,这些发现表明PM2.5暴露会损害鼻上皮屏障功能,并加剧AR的病理损伤,可能通过激活NLRP3介导的细胞焦亡来实现

图 2. PM2.5加重了变应性鼻炎中的上皮屏障功能障碍,这与NLRP3和GSDMD表达增加有关

图 S2. PM2.5暴露加剧了AR小鼠的过敏性炎症

图 S3. PM2.5刺激以剂量依赖的方式破坏HNEpC 细胞上皮屏障的完整性

结果3:NLRP3介导的细胞焦亡在PM2.5引起的AR患者鼻上皮屏障功能障碍中的关键作用

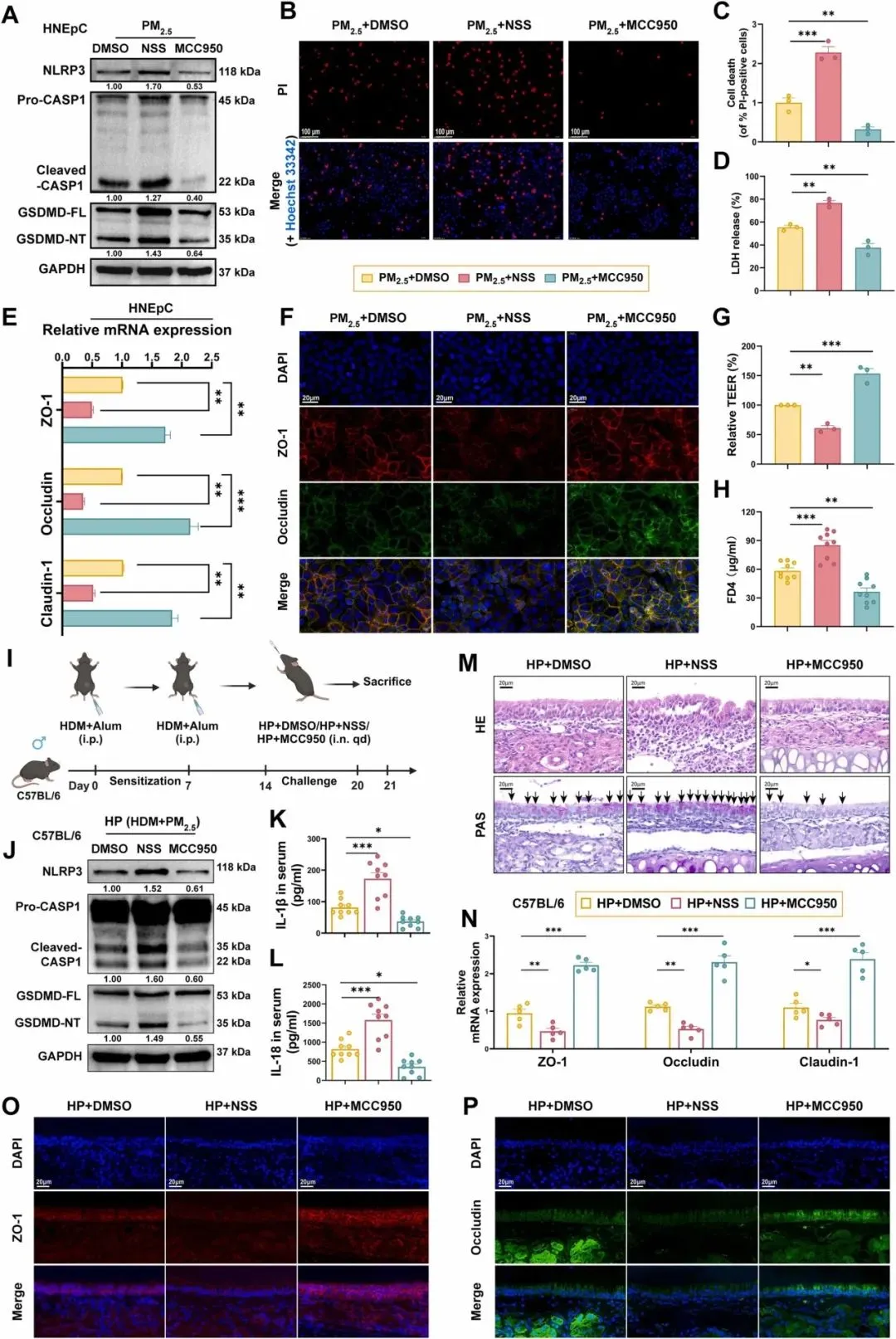
      为了进一步阐明NLRP3介导的细胞焦亡在 PM2.5引起的鼻上皮屏障功能障碍中的作用,作者使用NLRP3激动剂NSS选择性抑制剂MCC950 预处理HNEpCs1 小时,然后再暴露PM2.5中。预处理有效调节了HNEpCs中NLRP3介导的细胞焦亡水平(图 3A-D)。值得注意的是,NSS处理显著下调了紧密连接蛋白(TJ)的表达并损害了上皮屏障的完整性,而MCC950则发挥了保护作用,恢复了TJ的表达并维持了屏障功能(图 3E-H)。这些观察结果在PM2.5暴露的变应性鼻炎(AR)小鼠模型(HDM+PM2.5,HP)中得到了进一步验证,如图 3I所示。在挑战阶段,小鼠接受了额外的鼻内 NSS或MCC950给药。NLRP3活性的调节显著影响了鼻黏膜中的细胞焦亡水平(图 3J-L)。此外,NSS处理加剧了鼻部炎症和上皮屏障功能障碍,而 MCC950处理则减轻了这些影响(图 3M-P)。总体而言,这些发现强调了NLRP3介导的细胞焦亡在 PM2.5引起的AR患者鼻上皮屏障功能障碍中的关键作用

图 3. NLRP3介导的细胞焦亡在PM2.5加重AR上皮屏障功能障碍中起关键作用

结果4:PM2.5可增强鼻上皮细胞中芳香烃受体(AhR)的表达,从而诱导NLRP3介导的细胞焦亡

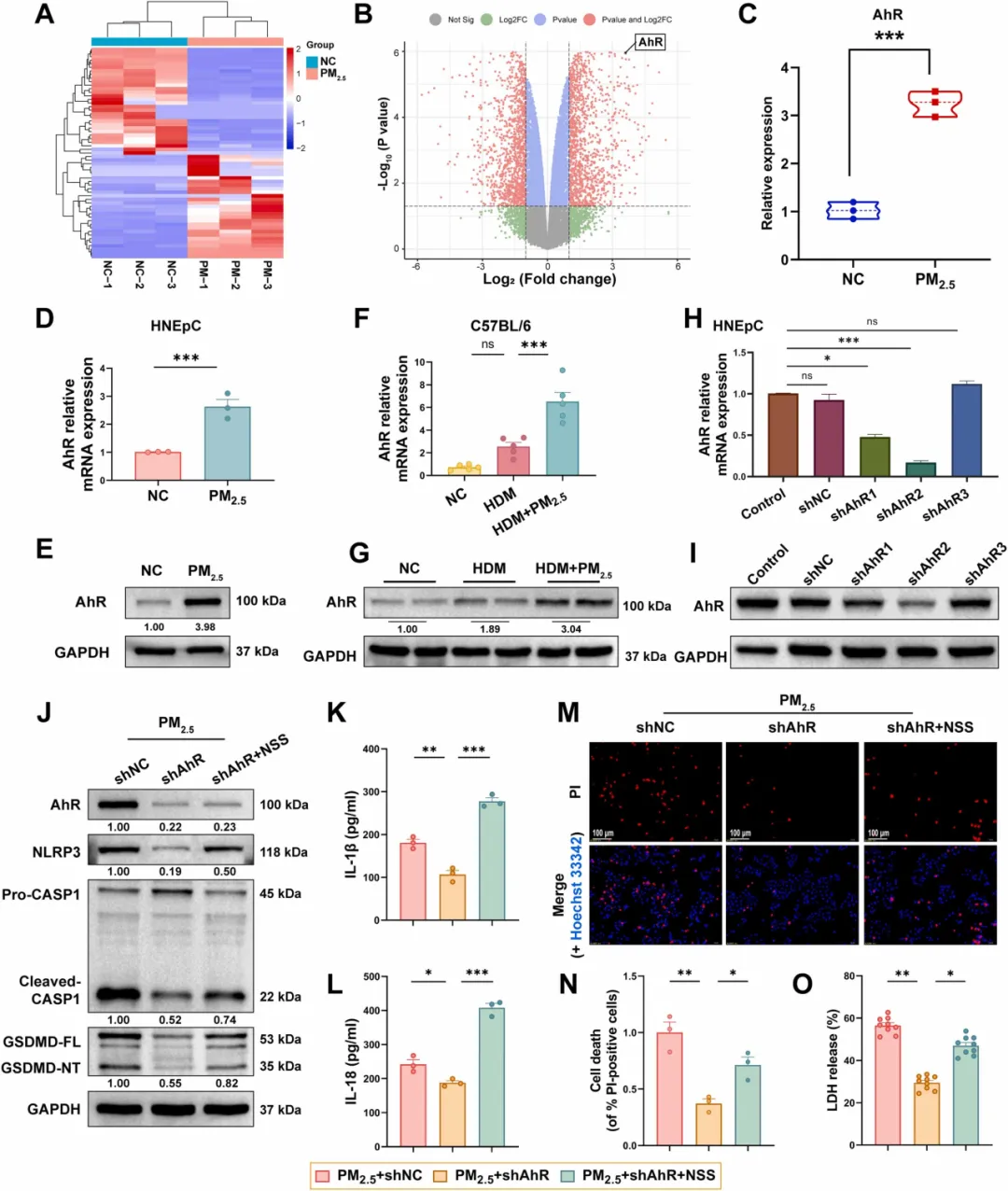
       PM2.5诱导的细胞焦亡的机制是什么呢?芳香烃受体(AhR)作为关键的“环境传感器”,将环境污染物与免疫反应联系起来。越来越多的证据表明,AhR的激活可能与环境污染物引发的细胞焦亡有关。PM2.5诱导的细胞焦亡是否依赖AhR呢?作者检测了PM2.5处理后的HNEpC中AhR的表达。从 PM2.5处理组和对照组的HNEpC中提取总RNA,随后进行RNA-seq分析。聚类分析(图 4A)和火山图(图 4B)展示了差异表达基因(DEGs)的分布情况,AhR在红色区域中显著突出(图 4B),表明PM2.5刺激后HNEpC中AhR的表达显著增加(图 4C)。此外,体外(图 4D 和 E)和体内(图 4F 和 G)实验均证实,暴露于PM2.5后,芳香烃受体(AhR)的mRNA和蛋白质水平显著上调,这与 RNA测序的结果一致。

      基于以上观察结果,作者假设芳香烃受体(AhR)的激活有助于PM2.5诱导的细胞焦亡。为了验证这一假设,作者在HNEpC中敲低AhR 基因表达,并评估了PM2.5刺激下细胞焦亡水平的后续变化。通过qRT-PCR和Western blot分析确定了沉默AhR的最有效序列(图 4H和I)。AhR的下调显著降低了NLRP3炎性小体的激活和细胞焦亡(图 4J)。这种抑制伴随着细胞因子释放(图 4K 和 L)和乳酸脱氢酶(LDH)水平(图 4O)的显著降低,以及焦亡的HNEpC细胞数量的减少(图 4M和 N)。这些发现表明AhR的激活对于PM2.5诱导的细胞焦亡至关重要。加入NLRP3激动剂NSS可逆转这些效应(图 4J-O)。这些结果表明PM2.5通过上调AhR诱导鼻上皮细胞发生细胞焦亡

图 4. PM2.5增强鼻上皮细胞中AhR的表达,诱导 NLRP3介导的细胞焦亡

结果5:PM2.5通过AhR/NLRP3介导的细胞焦亡加重变应性鼻炎中的上皮屏障功能障碍

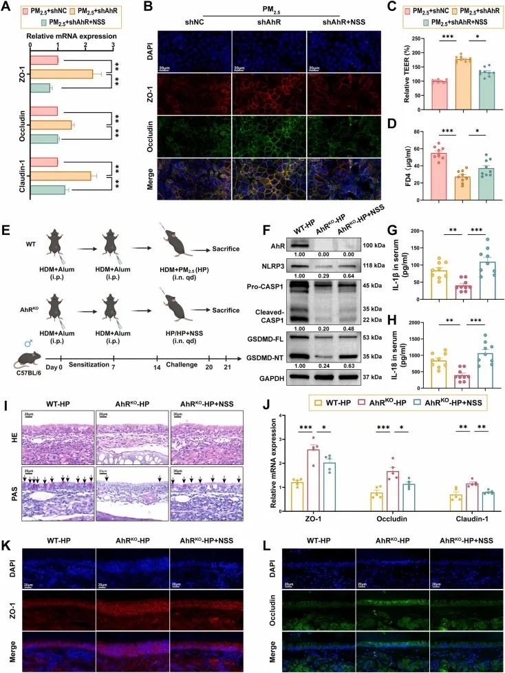
      前面验证了AhR激活在介导PM2.5诱导的鼻上皮细胞焦亡中的关键作用。既往研究表明,AhR在包括肺损伤、炎症性肠病和皮炎在内的多种疾病中参与屏障功能的调节。基于这些发现,作者进一步探究AhR在PM2.5诱导的鼻上皮屏障功能障碍中的作用。体外实验表明,在PM2.5刺激下,AhR表达下调可增加HNEpC中的紧密连接蛋白表达(图5A 和B)。加入NLRP3激动剂NSS后,这种效应被逆转(图 5A 和 B)。评估上皮屏障完整性的功能实验,包括TEERFD4渗透性测试,也得到了一致的结果(图 5C 和 D),表明AhR表达下调可减轻 PM2.5诱导的上皮屏障破坏。

       作者进一步使用AhR KO小鼠在体内验证这些发现。在WT和AhR KO小鼠中建立了暴露于PM2.5 的AR模型,并同时进行鼻内给予NSS的挽救实验(图 5E)。与 WT小鼠相比,AhR敲除显著降低了鼻黏膜中NLRP3炎性小体的激活、细胞焦亡水平以及全身细胞因子水平,而给予 NSS 后部分逆转了这些变化(图5F-H)。此外,屏障功能和形态学分析表明,AhR敲除显著增加了PM2.5暴露的AR小鼠鼻黏膜中紧密连接(TJ)的表达(图 5J-L),从而改善了上皮屏障的完整性和组织结构(图 5I)。然而,鼻内给予NSS逆转了这些改善(图 5I-L)。以上研究证明PM2.5通过AhR/NLRP3介导的细胞焦亡加剧了变应性鼻炎中的鼻上皮屏障功能障碍

图5. PM2.5通过芳烃受体/核苷酸结合寡聚化结构域样受体蛋白 3介导的细胞焦亡加重变应性鼻炎上皮屏障功能障碍

结果6:PM2.5促进AhR对细胞色素P450(CYP)1A1 表达的转录调控

      接下来,作者进一步探究AhR是否调节鼻上皮细胞中NLRP3介导的细胞焦亡。AhR是一种关键的转录因子,通过诱导下游靶基因表达参与多种生物学过程,包括细胞色素P450(CYP)家族的多个成员。然而,很少有研究探讨AhR是否调节鼻上皮细胞中CYP家族成员的表达。为解决这一问题,作者利用蛋白互作网络分析(https://cn.string-db.org/)确定了与 AhR 关联最紧密的三个CYP家族基因(图 6A)。随后,作者检测了PM2.5刺激和AhR 敲低后它们的表达水平。结果表明,PM2.5刺激后 CYP1A2表达增加,但差异无统计学意义(图 6B)。此外,如图6C所示,AhR敲低并未显著改变CYP1B1的表达。相比之下,只有CYP1A1在 mRNA和蛋白质水平上均符合这两个标准,如图 6D和E所示。在暴露于PM2.5的AR小鼠中进行的进一步验证也证实了这些发现(图 6F和G),这表明 PM2.5以AhR依赖的方式诱导CYP1A1的表达

      为了阐明AhR调控细胞色素 P450 1A1(CYP1A1)表达的机制,作者进行了染色质免疫沉淀定量聚合酶链反应(ChIP-qPCR)和双荧光素酶报告基因检测JASPAR数据库确定了CYP1A1 启动子内AhR转录因子的三个潜在结合位点(图 6H),以及AhR的转录调控标记(图 6I)。我们的 ChIP-qPCR实验表明AhR与CYP1A1-Fc片段结合(图 6J和K)。为了进一步验证这种相互作用,我们构建了CYP1A1-Fc片段的突变序列,并将其与 AhR过表达载体共转染到H293T细胞中。荧光素酶活性测定显示野生型CYP1A1(WT-CYP1A1)的荧光素酶活性显著增加,而突变型CYP1A1(Mut-CYP1A1)则无变化,这证实了AhR与CYP1A1启动子结合的特异性(图6L)。此外,免疫荧光和蛋白质印迹分析表明,PM2.5暴露诱导AhR核转位,从而促进其转录调节作用(图6M-O)。以上研究结果表明PM2.5增强了AhR介导的CYP1A1转录调控。

图 6. PM2.5促进AhR对CYP1A1表达的转录调控

结果7:PM2.5通过AhR/CYP1A1轴上调ROS水平,从而促进鼻上皮细胞中NLRP3介导的细胞焦亡

     CYP1A1基因编码一种单加氧酶,可导致ROS过度生成,而这是NLRP3炎性小体激活的关键触发因素。基于之前的发现,作者假设PM2.5激活 AhR/CYP1A1轴,导致活性氧(ROS)水平升高,并促进鼻上皮细胞中NLRP3介导的细胞焦亡。结果表明PM2.5刺激后活性氧水平显著升高,而预先用活性氧抑制剂 NAC处理则能有效降低活性氧水平(图 7A和 B)。此外,活性氧抑制显著降低了NLRP3和 GSDMD蛋白水平(图 7C-E),并显著减轻了 PM2.5诱导的鼻上皮细胞焦亡(图 7F-H)。这些发现表明PM2.5通过增加活性氧水平促进鼻上皮细胞中NLRP3介导的细胞焦亡。

      为了进一步探究AhR/CYP1A1轴在ROS生成和细胞焦亡中的作用,作者进行了rescue实验。将携带CYP1A1过表达载体的慢病毒转导至鼻上皮细胞(HNEpC),并确认了转染效率(图 7I和J)。活性氧检测实验表明,CYP1A1过表达显著增加了活性氧的生成,并逆转了芳香烃受体沉默所导致的活性氧水平降低(图 7K 和 L),这表明AhR/CYP1A1轴介导了PM2.5诱导的活性氧上调。此外,细胞焦亡分析显示,CYP1A1过表达显著增强了细胞因子的释放(图 7M),增加了NLRP3介导的细胞焦亡激活(图 7N-Q),并逆转了芳香烃受体沉默所导致的细胞焦亡抑制。这些发现表明,AhR/CYP1A1轴在PM2.5诱导的鼻上皮细胞焦亡中起着关键作用。

图 7. PM2.5通过AhR/CYP1A1轴上调ROS水平,从而促使鼻上皮细胞发生NLRP3介导的焦亡

结果8:PM2.5通过AhR/CYP1A1轴诱导NLRP3介导的细胞焦亡,从而加剧变应性鼻炎中的上皮屏障功能障碍

     最后,作者进一步通过体外实验评估了 AhR/CYP1A1轴对鼻上皮屏障功能的影响。结果表明,CYP1A1过表达促进了PM2.5刺激导致的HNEpC细胞中TJ蛋白表达的下调(图 8A和B)。这种恶化导致屏障完整性受损,并部分逆转了AhR 沉默后观察到的上皮屏障功能的改善(图 8C 和 D)。这些发现突显了AhR/CYP1A1轴在PM2.5诱导的上皮屏障功能障碍中的关键作用。

      体内实验包括在野生型(WT)和芳烃受体基因敲除(AhR KO)小鼠中通过鼻腔给予过表达 CYP1A1的慢病毒,从而建立了暴露于PM2.5的AR小鼠模型(图 8E)。随后的细胞焦亡分析表明,CYP1A1过表达在放大鼻黏膜中NLRP3炎性小体的激活和细胞焦亡方面发挥了关键作用。此外,它还导致血清细胞因子水平升高,并部分恢复了因 AhR 缺失而降低的细胞焦亡活性(图 8H-J)。这些发现表明,PM2.5通过AhR/CYP1A1轴调节AR小鼠鼻黏膜中的细胞焦亡。此外,对鼻上皮屏障功能和形态的分析显示,CYP1A1过表达进一步抑制了紧密连接蛋白的表达,加剧了鼻黏膜中的炎症细胞浸润,并增加了黏液分泌。这些效应部分抵消了AhR缺失后观察到的鼻上皮屏障完整性和炎症的改善(图 8K-N)。这些结果表明,PM2.5通过 AhR/CYP1A1轴触发NLRP3介导的细胞焦亡,从而加重变应性鼻炎小鼠的鼻上皮屏障功能障碍,并加剧鼻部炎症。

图 8. PM2.5通过AhR/CYP1A1轴诱导NLRP3介导的细胞焦亡,从而加剧变应性鼻炎中的上皮屏障功能障碍

全文总结

      本研究系统地证明了PM2.5暴露会诱导鼻上皮细胞发生NLRP3介导的细胞焦亡,导致上皮屏障功能障碍和加重变应性鼻炎炎症。此外,作者揭示了AhR/CYP1A1/ROS轴在这一过程中起着关键的调节作用。这些发现为PM2.5 引起的鼻黏膜上皮损伤提供了新的机制见解,并强调了细胞焦亡在环境污染物诱导的气道炎症中的重要性,从而为未来变应性鼻炎的治疗干预奠定了基础。

DOI: 10.1016/j.jhazmat.2025.138145

原文PDF下载:PM2.5 exacerbates nasal epithelial barrier dysfunction in allergic rhinitis by inducing NLRP3-mediated pyroptosis via the AhR CYP1A1 ROS axis.pdf

往期推荐

1

Stem Cell Res Ther | 间充质干细胞治疗过敏性鼻炎的免疫调节机制及研究进展

2

Immunol Rev | 过敏性哮喘中嗜酸性粒细胞、肥大细胞和嗜碱性粒细胞的病理生物学和调控

3

鼻部手术患者术腔填充物使用的专家共识(2025,上海)

耳鼻喉学术交流群

扫描二维码添加小编进入耳鼻喉研究交流群

与该领域小伙伴一起交流

商务合作

最新文章

随机文章

基本 文件 流程 错误 SQL 调试
  1. 请求信息 : 2026-04-10 10:08:02 HTTP/2.0 GET : https://a.460.net.cn/a/461616.html
  2. 运行时间 : 0.309728s [ 吞吐率:3.23req/s ] 内存消耗:4,320.64kb 文件加载:140
  3. 缓存信息 : 0 reads,0 writes
  4. 会话信息 : SESSION_ID=81d874f00f299475a07c6b08a035548b
  1. /yingpanguazai/ssd/ssd1/www/a.460.net.cn/public/index.php ( 0.79 KB )
  2. /yingpanguazai/ssd/ssd1/www/a.460.net.cn/vendor/autoload.php ( 0.17 KB )
  3. /yingpanguazai/ssd/ssd1/www/a.460.net.cn/vendor/composer/autoload_real.php ( 2.49 KB )
  4. /yingpanguazai/ssd/ssd1/www/a.460.net.cn/vendor/composer/platform_check.php ( 0.90 KB )
  5. /yingpanguazai/ssd/ssd1/www/a.460.net.cn/vendor/composer/ClassLoader.php ( 14.03 KB )
  6. /yingpanguazai/ssd/ssd1/www/a.460.net.cn/vendor/composer/autoload_static.php ( 4.90 KB )
  7. /yingpanguazai/ssd/ssd1/www/a.460.net.cn/vendor/topthink/think-helper/src/helper.php ( 8.34 KB )
  8. /yingpanguazai/ssd/ssd1/www/a.460.net.cn/vendor/topthink/think-validate/src/helper.php ( 2.19 KB )
  9. /yingpanguazai/ssd/ssd1/www/a.460.net.cn/vendor/topthink/think-orm/src/helper.php ( 1.47 KB )
  10. /yingpanguazai/ssd/ssd1/www/a.460.net.cn/vendor/topthink/think-orm/stubs/load_stubs.php ( 0.16 KB )
  11. /yingpanguazai/ssd/ssd1/www/a.460.net.cn/vendor/topthink/framework/src/think/Exception.php ( 1.69 KB )
  12. /yingpanguazai/ssd/ssd1/www/a.460.net.cn/vendor/topthink/think-container/src/Facade.php ( 2.71 KB )
  13. /yingpanguazai/ssd/ssd1/www/a.460.net.cn/vendor/symfony/deprecation-contracts/function.php ( 0.99 KB )
  14. /yingpanguazai/ssd/ssd1/www/a.460.net.cn/vendor/symfony/polyfill-mbstring/bootstrap.php ( 8.26 KB )
  15. /yingpanguazai/ssd/ssd1/www/a.460.net.cn/vendor/symfony/polyfill-mbstring/bootstrap80.php ( 9.78 KB )
  16. /yingpanguazai/ssd/ssd1/www/a.460.net.cn/vendor/symfony/var-dumper/Resources/functions/dump.php ( 1.49 KB )
  17. /yingpanguazai/ssd/ssd1/www/a.460.net.cn/vendor/topthink/think-dumper/src/helper.php ( 0.18 KB )
  18. /yingpanguazai/ssd/ssd1/www/a.460.net.cn/vendor/symfony/var-dumper/VarDumper.php ( 4.30 KB )
  19. /yingpanguazai/ssd/ssd1/www/a.460.net.cn/vendor/topthink/framework/src/think/App.php ( 15.30 KB )
  20. /yingpanguazai/ssd/ssd1/www/a.460.net.cn/vendor/topthink/think-container/src/Container.php ( 15.76 KB )
  21. /yingpanguazai/ssd/ssd1/www/a.460.net.cn/vendor/psr/container/src/ContainerInterface.php ( 1.02 KB )
  22. /yingpanguazai/ssd/ssd1/www/a.460.net.cn/app/provider.php ( 0.19 KB )
  23. /yingpanguazai/ssd/ssd1/www/a.460.net.cn/vendor/topthink/framework/src/think/Http.php ( 6.04 KB )
  24. /yingpanguazai/ssd/ssd1/www/a.460.net.cn/vendor/topthink/think-helper/src/helper/Str.php ( 7.29 KB )
  25. /yingpanguazai/ssd/ssd1/www/a.460.net.cn/vendor/topthink/framework/src/think/Env.php ( 4.68 KB )
  26. /yingpanguazai/ssd/ssd1/www/a.460.net.cn/app/common.php ( 0.03 KB )
  27. /yingpanguazai/ssd/ssd1/www/a.460.net.cn/vendor/topthink/framework/src/helper.php ( 18.78 KB )
  28. /yingpanguazai/ssd/ssd1/www/a.460.net.cn/vendor/topthink/framework/src/think/Config.php ( 5.54 KB )
  29. /yingpanguazai/ssd/ssd1/www/a.460.net.cn/config/app.php ( 0.95 KB )
  30. /yingpanguazai/ssd/ssd1/www/a.460.net.cn/config/cache.php ( 0.78 KB )
  31. /yingpanguazai/ssd/ssd1/www/a.460.net.cn/config/console.php ( 0.23 KB )
  32. /yingpanguazai/ssd/ssd1/www/a.460.net.cn/config/cookie.php ( 0.56 KB )
  33. /yingpanguazai/ssd/ssd1/www/a.460.net.cn/config/database.php ( 2.48 KB )
  34. /yingpanguazai/ssd/ssd1/www/a.460.net.cn/vendor/topthink/framework/src/think/facade/Env.php ( 1.67 KB )
  35. /yingpanguazai/ssd/ssd1/www/a.460.net.cn/config/filesystem.php ( 0.61 KB )
  36. /yingpanguazai/ssd/ssd1/www/a.460.net.cn/config/lang.php ( 0.91 KB )
  37. /yingpanguazai/ssd/ssd1/www/a.460.net.cn/config/log.php ( 1.35 KB )
  38. /yingpanguazai/ssd/ssd1/www/a.460.net.cn/config/middleware.php ( 0.19 KB )
  39. /yingpanguazai/ssd/ssd1/www/a.460.net.cn/config/route.php ( 1.89 KB )
  40. /yingpanguazai/ssd/ssd1/www/a.460.net.cn/config/session.php ( 0.57 KB )
  41. /yingpanguazai/ssd/ssd1/www/a.460.net.cn/config/trace.php ( 0.34 KB )
  42. /yingpanguazai/ssd/ssd1/www/a.460.net.cn/config/view.php ( 0.82 KB )
  43. /yingpanguazai/ssd/ssd1/www/a.460.net.cn/app/event.php ( 0.25 KB )
  44. /yingpanguazai/ssd/ssd1/www/a.460.net.cn/vendor/topthink/framework/src/think/Event.php ( 7.67 KB )
  45. /yingpanguazai/ssd/ssd1/www/a.460.net.cn/app/service.php ( 0.13 KB )
  46. /yingpanguazai/ssd/ssd1/www/a.460.net.cn/app/AppService.php ( 0.26 KB )
  47. /yingpanguazai/ssd/ssd1/www/a.460.net.cn/vendor/topthink/framework/src/think/Service.php ( 1.64 KB )
  48. /yingpanguazai/ssd/ssd1/www/a.460.net.cn/vendor/topthink/framework/src/think/Lang.php ( 7.35 KB )
  49. /yingpanguazai/ssd/ssd1/www/a.460.net.cn/vendor/topthink/framework/src/lang/zh-cn.php ( 13.70 KB )
  50. /yingpanguazai/ssd/ssd1/www/a.460.net.cn/vendor/topthink/framework/src/think/initializer/Error.php ( 3.31 KB )
  51. /yingpanguazai/ssd/ssd1/www/a.460.net.cn/vendor/topthink/framework/src/think/initializer/RegisterService.php ( 1.33 KB )
  52. /yingpanguazai/ssd/ssd1/www/a.460.net.cn/vendor/services.php ( 0.14 KB )
  53. /yingpanguazai/ssd/ssd1/www/a.460.net.cn/vendor/topthink/framework/src/think/service/PaginatorService.php ( 1.52 KB )
  54. /yingpanguazai/ssd/ssd1/www/a.460.net.cn/vendor/topthink/framework/src/think/service/ValidateService.php ( 0.99 KB )
  55. /yingpanguazai/ssd/ssd1/www/a.460.net.cn/vendor/topthink/framework/src/think/service/ModelService.php ( 2.04 KB )
  56. /yingpanguazai/ssd/ssd1/www/a.460.net.cn/vendor/topthink/think-trace/src/Service.php ( 0.77 KB )
  57. /yingpanguazai/ssd/ssd1/www/a.460.net.cn/vendor/topthink/framework/src/think/Middleware.php ( 6.72 KB )
  58. /yingpanguazai/ssd/ssd1/www/a.460.net.cn/vendor/topthink/framework/src/think/initializer/BootService.php ( 0.77 KB )
  59. /yingpanguazai/ssd/ssd1/www/a.460.net.cn/vendor/topthink/think-orm/src/Paginator.php ( 11.86 KB )
  60. /yingpanguazai/ssd/ssd1/www/a.460.net.cn/vendor/topthink/think-validate/src/Validate.php ( 63.20 KB )
  61. /yingpanguazai/ssd/ssd1/www/a.460.net.cn/vendor/topthink/think-orm/src/Model.php ( 23.55 KB )
  62. /yingpanguazai/ssd/ssd1/www/a.460.net.cn/vendor/topthink/think-orm/src/model/concern/Attribute.php ( 21.05 KB )
  63. /yingpanguazai/ssd/ssd1/www/a.460.net.cn/vendor/topthink/think-orm/src/model/concern/AutoWriteData.php ( 4.21 KB )
  64. /yingpanguazai/ssd/ssd1/www/a.460.net.cn/vendor/topthink/think-orm/src/model/concern/Conversion.php ( 6.44 KB )
  65. /yingpanguazai/ssd/ssd1/www/a.460.net.cn/vendor/topthink/think-orm/src/model/concern/DbConnect.php ( 5.16 KB )
  66. /yingpanguazai/ssd/ssd1/www/a.460.net.cn/vendor/topthink/think-orm/src/model/concern/ModelEvent.php ( 2.33 KB )
  67. /yingpanguazai/ssd/ssd1/www/a.460.net.cn/vendor/topthink/think-orm/src/model/concern/RelationShip.php ( 28.29 KB )
  68. /yingpanguazai/ssd/ssd1/www/a.460.net.cn/vendor/topthink/think-helper/src/contract/Arrayable.php ( 0.09 KB )
  69. /yingpanguazai/ssd/ssd1/www/a.460.net.cn/vendor/topthink/think-helper/src/contract/Jsonable.php ( 0.13 KB )
  70. /yingpanguazai/ssd/ssd1/www/a.460.net.cn/vendor/topthink/think-orm/src/model/contract/Modelable.php ( 0.09 KB )
  71. /yingpanguazai/ssd/ssd1/www/a.460.net.cn/vendor/topthink/framework/src/think/Db.php ( 2.88 KB )
  72. /yingpanguazai/ssd/ssd1/www/a.460.net.cn/vendor/topthink/think-orm/src/DbManager.php ( 8.52 KB )
  73. /yingpanguazai/ssd/ssd1/www/a.460.net.cn/vendor/topthink/framework/src/think/Log.php ( 6.28 KB )
  74. /yingpanguazai/ssd/ssd1/www/a.460.net.cn/vendor/topthink/framework/src/think/Manager.php ( 3.92 KB )
  75. /yingpanguazai/ssd/ssd1/www/a.460.net.cn/vendor/psr/log/src/LoggerTrait.php ( 2.69 KB )
  76. /yingpanguazai/ssd/ssd1/www/a.460.net.cn/vendor/psr/log/src/LoggerInterface.php ( 2.71 KB )
  77. /yingpanguazai/ssd/ssd1/www/a.460.net.cn/vendor/topthink/framework/src/think/Cache.php ( 4.92 KB )
  78. /yingpanguazai/ssd/ssd1/www/a.460.net.cn/vendor/psr/simple-cache/src/CacheInterface.php ( 4.71 KB )
  79. /yingpanguazai/ssd/ssd1/www/a.460.net.cn/vendor/topthink/think-helper/src/helper/Arr.php ( 16.63 KB )
  80. /yingpanguazai/ssd/ssd1/www/a.460.net.cn/vendor/topthink/framework/src/think/cache/driver/File.php ( 7.84 KB )
  81. /yingpanguazai/ssd/ssd1/www/a.460.net.cn/vendor/topthink/framework/src/think/cache/Driver.php ( 9.03 KB )
  82. /yingpanguazai/ssd/ssd1/www/a.460.net.cn/vendor/topthink/framework/src/think/contract/CacheHandlerInterface.php ( 1.99 KB )
  83. /yingpanguazai/ssd/ssd1/www/a.460.net.cn/app/Request.php ( 0.09 KB )
  84. /yingpanguazai/ssd/ssd1/www/a.460.net.cn/vendor/topthink/framework/src/think/Request.php ( 55.78 KB )
  85. /yingpanguazai/ssd/ssd1/www/a.460.net.cn/app/middleware.php ( 0.25 KB )
  86. /yingpanguazai/ssd/ssd1/www/a.460.net.cn/vendor/topthink/framework/src/think/Pipeline.php ( 2.61 KB )
  87. /yingpanguazai/ssd/ssd1/www/a.460.net.cn/vendor/topthink/think-trace/src/TraceDebug.php ( 3.40 KB )
  88. /yingpanguazai/ssd/ssd1/www/a.460.net.cn/vendor/topthink/framework/src/think/middleware/SessionInit.php ( 1.94 KB )
  89. /yingpanguazai/ssd/ssd1/www/a.460.net.cn/vendor/topthink/framework/src/think/Session.php ( 1.80 KB )
  90. /yingpanguazai/ssd/ssd1/www/a.460.net.cn/vendor/topthink/framework/src/think/session/driver/File.php ( 6.27 KB )
  91. /yingpanguazai/ssd/ssd1/www/a.460.net.cn/vendor/topthink/framework/src/think/contract/SessionHandlerInterface.php ( 0.87 KB )
  92. /yingpanguazai/ssd/ssd1/www/a.460.net.cn/vendor/topthink/framework/src/think/session/Store.php ( 7.12 KB )
  93. /yingpanguazai/ssd/ssd1/www/a.460.net.cn/vendor/topthink/framework/src/think/Route.php ( 23.73 KB )
  94. /yingpanguazai/ssd/ssd1/www/a.460.net.cn/vendor/topthink/framework/src/think/route/RuleName.php ( 5.75 KB )
  95. /yingpanguazai/ssd/ssd1/www/a.460.net.cn/vendor/topthink/framework/src/think/route/Domain.php ( 2.53 KB )
  96. /yingpanguazai/ssd/ssd1/www/a.460.net.cn/vendor/topthink/framework/src/think/route/RuleGroup.php ( 22.43 KB )
  97. /yingpanguazai/ssd/ssd1/www/a.460.net.cn/vendor/topthink/framework/src/think/route/Rule.php ( 26.95 KB )
  98. /yingpanguazai/ssd/ssd1/www/a.460.net.cn/vendor/topthink/framework/src/think/route/RuleItem.php ( 9.78 KB )
  99. /yingpanguazai/ssd/ssd1/www/a.460.net.cn/route/app.php ( 1.72 KB )
  100. /yingpanguazai/ssd/ssd1/www/a.460.net.cn/vendor/topthink/framework/src/think/facade/Route.php ( 4.70 KB )
  101. /yingpanguazai/ssd/ssd1/www/a.460.net.cn/vendor/topthink/framework/src/think/route/dispatch/Controller.php ( 4.74 KB )
  102. /yingpanguazai/ssd/ssd1/www/a.460.net.cn/vendor/topthink/framework/src/think/route/Dispatch.php ( 10.44 KB )
  103. /yingpanguazai/ssd/ssd1/www/a.460.net.cn/app/controller/Index.php ( 4.81 KB )
  104. /yingpanguazai/ssd/ssd1/www/a.460.net.cn/app/BaseController.php ( 2.05 KB )
  105. /yingpanguazai/ssd/ssd1/www/a.460.net.cn/vendor/topthink/think-orm/src/facade/Db.php ( 0.93 KB )
  106. /yingpanguazai/ssd/ssd1/www/a.460.net.cn/vendor/topthink/think-orm/src/db/connector/Mysql.php ( 5.44 KB )
  107. /yingpanguazai/ssd/ssd1/www/a.460.net.cn/vendor/topthink/think-orm/src/db/PDOConnection.php ( 52.47 KB )
  108. /yingpanguazai/ssd/ssd1/www/a.460.net.cn/vendor/topthink/think-orm/src/db/Connection.php ( 8.39 KB )
  109. /yingpanguazai/ssd/ssd1/www/a.460.net.cn/vendor/topthink/think-orm/src/db/ConnectionInterface.php ( 4.57 KB )
  110. /yingpanguazai/ssd/ssd1/www/a.460.net.cn/vendor/topthink/think-orm/src/db/builder/Mysql.php ( 16.58 KB )
  111. /yingpanguazai/ssd/ssd1/www/a.460.net.cn/vendor/topthink/think-orm/src/db/Builder.php ( 24.06 KB )
  112. /yingpanguazai/ssd/ssd1/www/a.460.net.cn/vendor/topthink/think-orm/src/db/BaseBuilder.php ( 27.50 KB )
  113. /yingpanguazai/ssd/ssd1/www/a.460.net.cn/vendor/topthink/think-orm/src/db/Query.php ( 15.71 KB )
  114. /yingpanguazai/ssd/ssd1/www/a.460.net.cn/vendor/topthink/think-orm/src/db/BaseQuery.php ( 45.13 KB )
  115. /yingpanguazai/ssd/ssd1/www/a.460.net.cn/vendor/topthink/think-orm/src/db/concern/TimeFieldQuery.php ( 7.43 KB )
  116. /yingpanguazai/ssd/ssd1/www/a.460.net.cn/vendor/topthink/think-orm/src/db/concern/AggregateQuery.php ( 3.26 KB )
  117. /yingpanguazai/ssd/ssd1/www/a.460.net.cn/vendor/topthink/think-orm/src/db/concern/ModelRelationQuery.php ( 20.07 KB )
  118. /yingpanguazai/ssd/ssd1/www/a.460.net.cn/vendor/topthink/think-orm/src/db/concern/ParamsBind.php ( 3.66 KB )
  119. /yingpanguazai/ssd/ssd1/www/a.460.net.cn/vendor/topthink/think-orm/src/db/concern/ResultOperation.php ( 7.01 KB )
  120. /yingpanguazai/ssd/ssd1/www/a.460.net.cn/vendor/topthink/think-orm/src/db/concern/WhereQuery.php ( 19.37 KB )
  121. /yingpanguazai/ssd/ssd1/www/a.460.net.cn/vendor/topthink/think-orm/src/db/concern/JoinAndViewQuery.php ( 7.11 KB )
  122. /yingpanguazai/ssd/ssd1/www/a.460.net.cn/vendor/topthink/think-orm/src/db/concern/TableFieldInfo.php ( 2.63 KB )
  123. /yingpanguazai/ssd/ssd1/www/a.460.net.cn/vendor/topthink/think-orm/src/db/concern/Transaction.php ( 2.77 KB )
  124. /yingpanguazai/ssd/ssd1/www/a.460.net.cn/vendor/topthink/framework/src/think/log/driver/File.php ( 5.96 KB )
  125. /yingpanguazai/ssd/ssd1/www/a.460.net.cn/vendor/topthink/framework/src/think/contract/LogHandlerInterface.php ( 0.86 KB )
  126. /yingpanguazai/ssd/ssd1/www/a.460.net.cn/vendor/topthink/framework/src/think/log/Channel.php ( 3.89 KB )
  127. /yingpanguazai/ssd/ssd1/www/a.460.net.cn/vendor/topthink/framework/src/think/event/LogRecord.php ( 1.02 KB )
  128. /yingpanguazai/ssd/ssd1/www/a.460.net.cn/vendor/topthink/think-helper/src/Collection.php ( 16.47 KB )
  129. /yingpanguazai/ssd/ssd1/www/a.460.net.cn/vendor/topthink/framework/src/think/facade/View.php ( 1.70 KB )
  130. /yingpanguazai/ssd/ssd1/www/a.460.net.cn/vendor/topthink/framework/src/think/View.php ( 4.39 KB )
  131. /yingpanguazai/ssd/ssd1/www/a.460.net.cn/vendor/topthink/framework/src/think/Response.php ( 8.81 KB )
  132. /yingpanguazai/ssd/ssd1/www/a.460.net.cn/vendor/topthink/framework/src/think/response/View.php ( 3.29 KB )
  133. /yingpanguazai/ssd/ssd1/www/a.460.net.cn/vendor/topthink/framework/src/think/Cookie.php ( 6.06 KB )
  134. /yingpanguazai/ssd/ssd1/www/a.460.net.cn/vendor/topthink/think-view/src/Think.php ( 8.38 KB )
  135. /yingpanguazai/ssd/ssd1/www/a.460.net.cn/vendor/topthink/framework/src/think/contract/TemplateHandlerInterface.php ( 1.60 KB )
  136. /yingpanguazai/ssd/ssd1/www/a.460.net.cn/vendor/topthink/think-template/src/Template.php ( 46.61 KB )
  137. /yingpanguazai/ssd/ssd1/www/a.460.net.cn/vendor/topthink/think-template/src/template/driver/File.php ( 2.41 KB )
  138. /yingpanguazai/ssd/ssd1/www/a.460.net.cn/vendor/topthink/think-template/src/template/contract/DriverInterface.php ( 0.86 KB )
  139. /yingpanguazai/ssd/ssd1/www/a.460.net.cn/runtime/temp/80ec142d437acc197a4b556a08c383fc.php ( 11.98 KB )
  140. /yingpanguazai/ssd/ssd1/www/a.460.net.cn/vendor/topthink/think-trace/src/Html.php ( 4.42 KB )
  1. CONNECT:[ UseTime:0.000830s ] mysql:host=127.0.0.1;port=3306;dbname=aa460;charset=utf8mb4
  2. SHOW FULL COLUMNS FROM `fenlei` [ RunTime:0.000905s ]
  3. SELECT * FROM `fenlei` WHERE `fid` = 0 [ RunTime:0.025723s ]
  4. SELECT * FROM `fenlei` WHERE `fid` = 63 [ RunTime:0.000264s ]
  5. SHOW FULL COLUMNS FROM `set` [ RunTime:0.000493s ]
  6. SELECT * FROM `set` [ RunTime:0.000214s ]
  7. SHOW FULL COLUMNS FROM `article` [ RunTime:0.000643s ]
  8. SELECT * FROM `article` WHERE `id` = 461616 LIMIT 1 [ RunTime:0.008921s ]
  9. UPDATE `article` SET `lasttime` = 1775786883 WHERE `id` = 461616 [ RunTime:0.010008s ]
  10. SELECT * FROM `fenlei` WHERE `id` = 64 LIMIT 1 [ RunTime:0.000210s ]
  11. SELECT * FROM `article` WHERE `id` < 461616 ORDER BY `id` DESC LIMIT 1 [ RunTime:0.001443s ]
  12. SELECT * FROM `article` WHERE `id` > 461616 ORDER BY `id` ASC LIMIT 1 [ RunTime:0.000698s ]
  13. SELECT * FROM `article` WHERE `id` < 461616 ORDER BY `id` DESC LIMIT 10 [ RunTime:0.068107s ]
  14. SELECT * FROM `article` WHERE `id` < 461616 ORDER BY `id` DESC LIMIT 10,10 [ RunTime:0.008889s ]
  15. SELECT * FROM `article` WHERE `id` < 461616 ORDER BY `id` DESC LIMIT 20,10 [ RunTime:0.005394s ]
0.313389s