医学研究前沿——聚焦医学前沿研究进展。100多万医学领域硕博医生们订阅的微信公众号。点击标题下蓝字“医学研究前沿”关注,我们将为您提供最有价值、最前沿的医学前沿资讯。

放射免疫治疗作为癌症治疗领域的重要进展,通过结合放疗与免疫检查点抑制剂(如抗PD-1/PD-L1疗法),显著提升了多种恶性肿瘤患者的生存率。然而,这种联合策略在增强抗肿瘤疗效的同时,也引发了不可忽视的心脏毒性风险,尤其是心脏纤维化等远期并发症,可能导致心室功能受损、心力衰竭甚至死亡。尽管先前研究已探讨单纯放疗或免疫治疗单独引起的心脏损伤机制,但两者联合使用后的具体病理过程仍不明确,限制了临床安全性的优化。2026年2月发表于《Advanced Science》的一项研究由南昌大学刘安文和陈磊峰团队主导,通过整合临床前模型和单细胞转录组分析,首次系统解码了放射免疫治疗诱导心脏纤维化的细胞分子机制。该研究强调,成纤维细胞与免疫细胞之间的交互作用,特别是白细胞介素-6(IL-6)信号的异常激活,是驱动心脏纤维化的核心环节。这一发现不仅填补了联合治疗心脏毒性机制的空白,还为开发靶向干预策略提供了理论依据,对促进癌症治疗个体化具有重要意义。

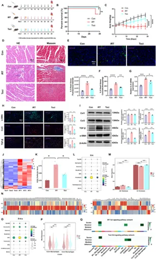
研究团队构建了放射免疫治疗的小鼠模型,模拟临床中胸部放疗联合免疫检查点抑制剂的治疗场景,并在处理后第28天、3个月和5个月等多个时间点评估心功能变化。通过单细胞RNA测序技术,团队详细绘制了心脏微环境中各类细胞(如成纤维细胞、巨噬细胞、T细胞等)的转录组图谱,并结合分子生物学实验验证关键信号通路。结果显示,放射免疫治疗显著加剧了心脏纤维化程度,并增强了成纤维细胞与免疫细胞之间的通讯网络,其中IL-6信号通路被明确识别为主要的促纤维化因子,且其来源主要集中于活化的成纤维细胞。在机制层面,研究发现IL-6通过自分泌和旁分泌方式促进成纤维细胞的自身活化,并协同激活CCR2+巨噬细胞亚群,这些细胞表现出更高的促纤维化评分。此外,干预实验采用IL-6基因敲除小鼠和IL-6受体抑制剂托珠单抗,证实两者均能有效减轻急性心脏损伤、炎症反应和纤维化病变。托珠单抗处理还降低了免疫检查点分子CD86在巨噬细胞中的表达,提示其可能通过调节免疫微环境发挥保护作用。这些数据从多角度揭示了IL-6在介导心脏毒性中的枢纽地位,为后续转化研究奠定基础。
本研究的结论深化了对放射免疫治疗心脏副作用的理解,证实成纤维细胞来源的IL-6是诱发纤维化的“元凶”,其通过调控巨噬细胞活化和细胞间对话驱动病理进程。托珠单抗作为已获批用于自身免疫疾病的药物,在本研究中展现出减轻心脏毒性的潜在价值,有望成为联合治疗中的辅助防护手段。从临床视角看,该发现强调了对接受放射免疫治疗患者进行IL-6水平监测的必要性,并为个体化风险管理提供了新靶点。未来研究需进一步验证托珠单抗在人类队列中的效力和安全性,同时探索其他微环境因子在心脏损伤中的作用。总体而言,这项工作不仅推进了癌症治疗心脏毒性的机制研究,也为改善患者长期生存质量开辟了可行路径,凸显了基础科学与临床实践相结合的重要性。



说明:
🔹本文仅作科研人员学术交流。
🔹本文内容若存在版权问题,请联系我们及时处理。
🔹欢迎广大读者对本文进行转发宣传。
🔹《医学研究前沿》会不断提升自身水平,为读者分享更加优质的材料研究成果解读,欢迎关注我们。
欢迎广大科研工作者投稿最新研究成果。