

单纯主动脉瓣反流一直是瓣膜介入治疗公认的高难度挑战,其核心难度主要在于瓣环扩张、瓣叶无钙化锚定限制,导致锚定区不足,容易移位。
主动脉瓣反流专用器械TaurusTrio凭借双重锚定机制、更低Oversize依赖,瓣膜植入更加稳定;5A标准化手术流程,使器械操作路径更明晰 ,打造更精准、更安全AR-TAVR手术体验。
本期南昌大学第一附属医院彭小平教授团队,带来TaurusTrio瓣膜治疗单纯主动脉瓣反流5A操作操作经验。

Case 1
大瓣环PAR伴有瓣叶脱垂、心室扩张心力衰竭
01
术前CT评估

02
瓣膜选择
根据瓣环与 LVOT-6 mm 平面,选择:M 号 TaurusTrio,瓣环可提供4.3%oversize

03
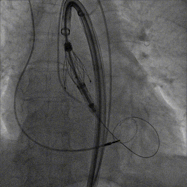
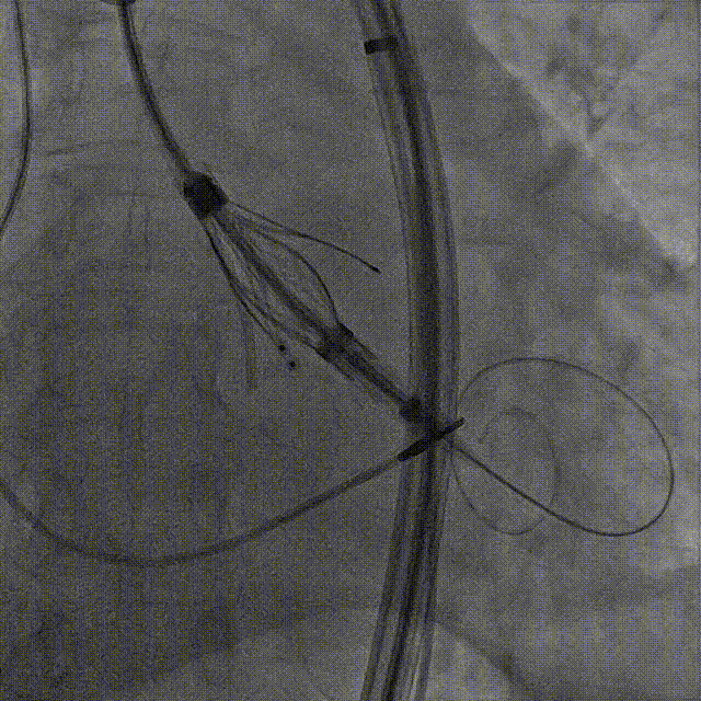
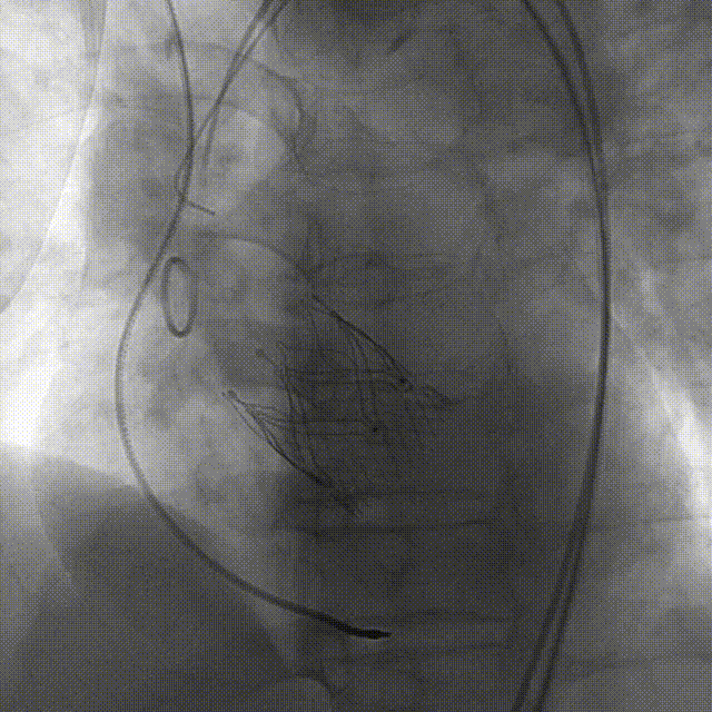
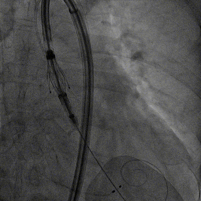
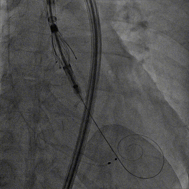
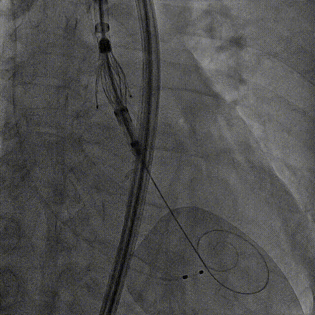
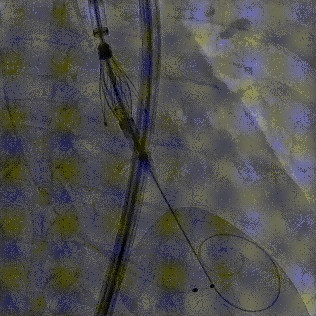
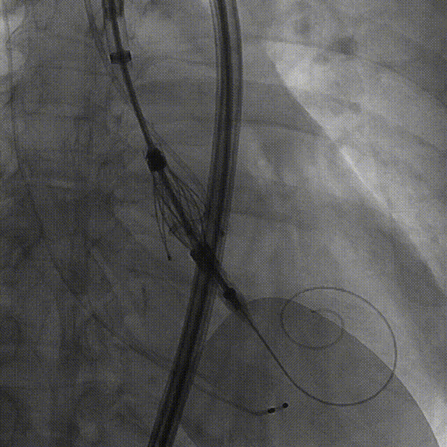
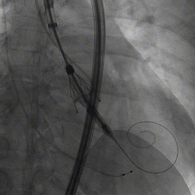
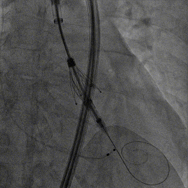
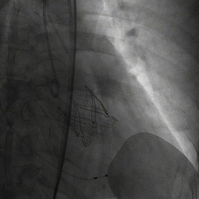
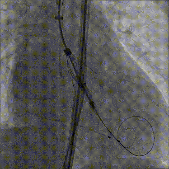
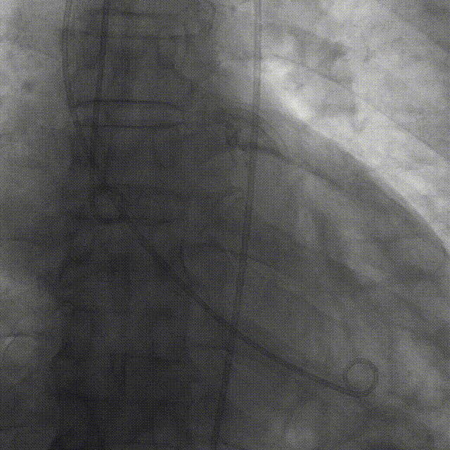
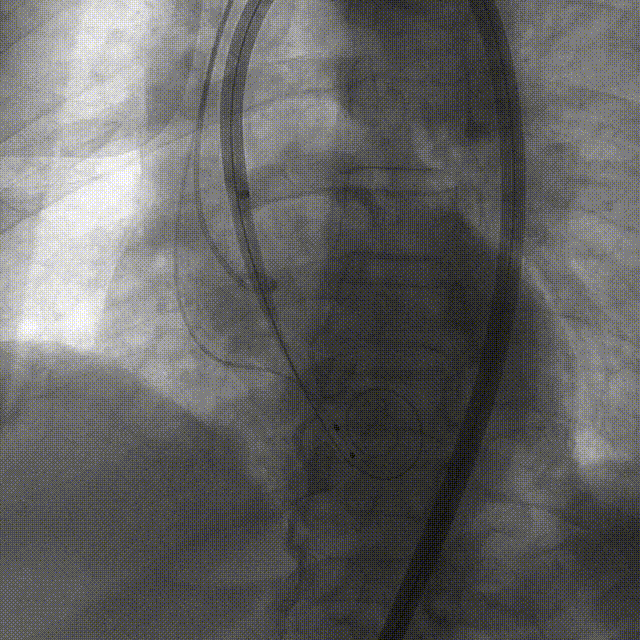
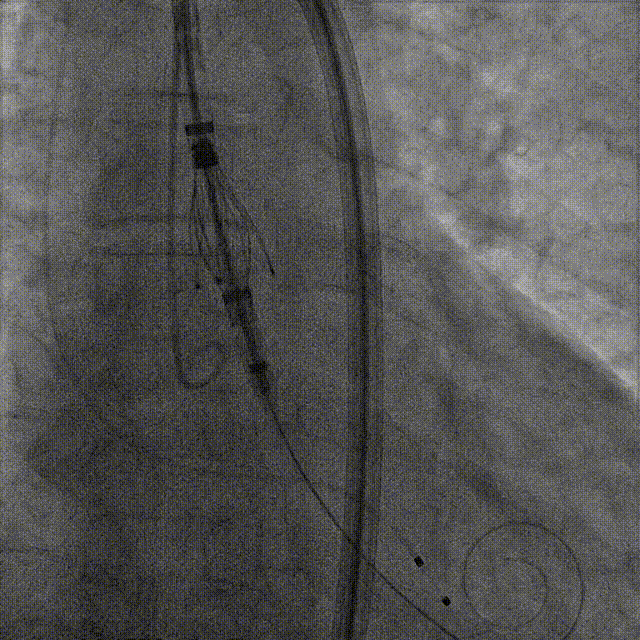
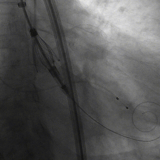
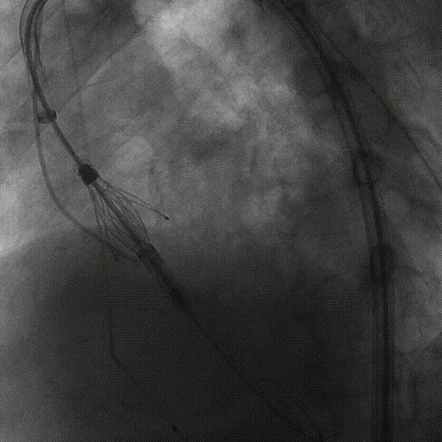
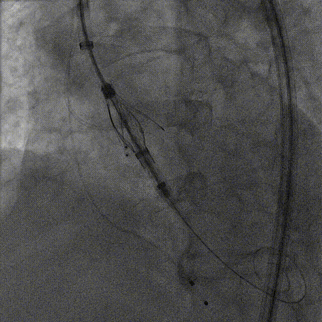
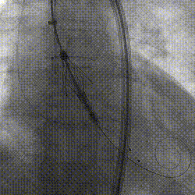
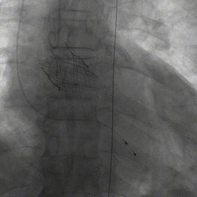
手术过程:5A 标准化流程SOP


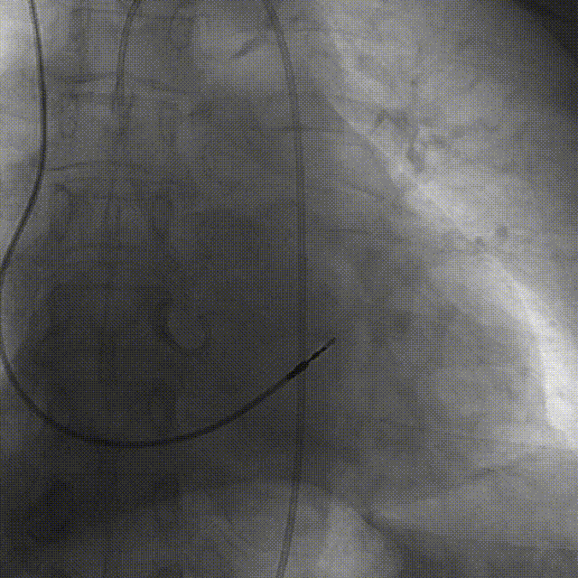
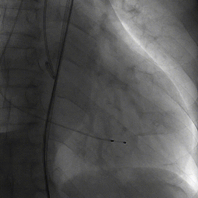
术前右窦中心造影
大鞘植入


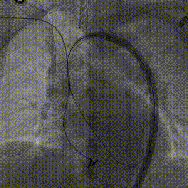
瓣膜对齐MARK
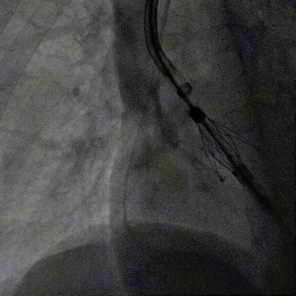
瓣膜调弯解离


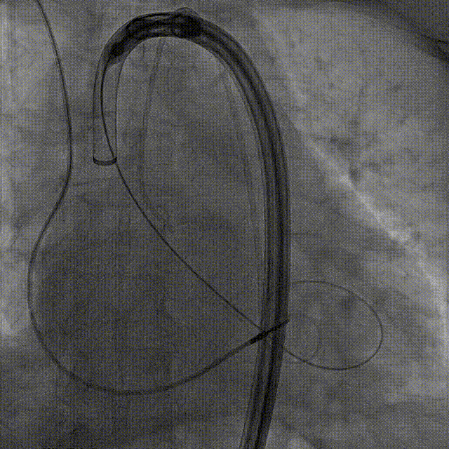
瓣膜锚定键体位确认
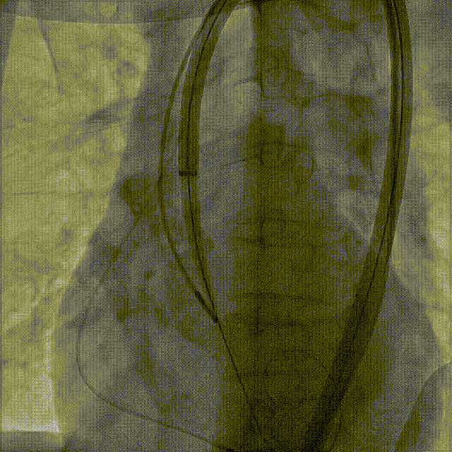
瓣膜入窦


左窦确认
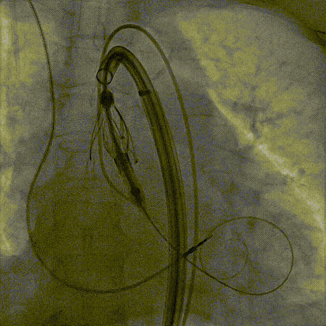
深度推进确认


起搏一键释放
术后造影
Case 2
大瓣环合并瓦氏窦、心室扩张,外周小弓角
01
术前CT评估

02
瓣膜选择
根据瓣环与 LVOT-6 mm 平面,选择:M 号 TaurusTrio,瓣环可提供7.3%oversize

03
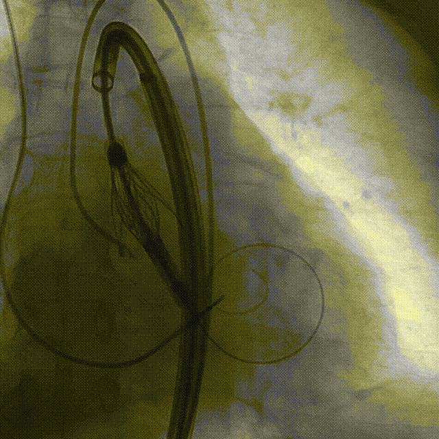
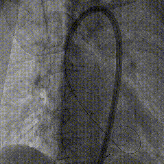
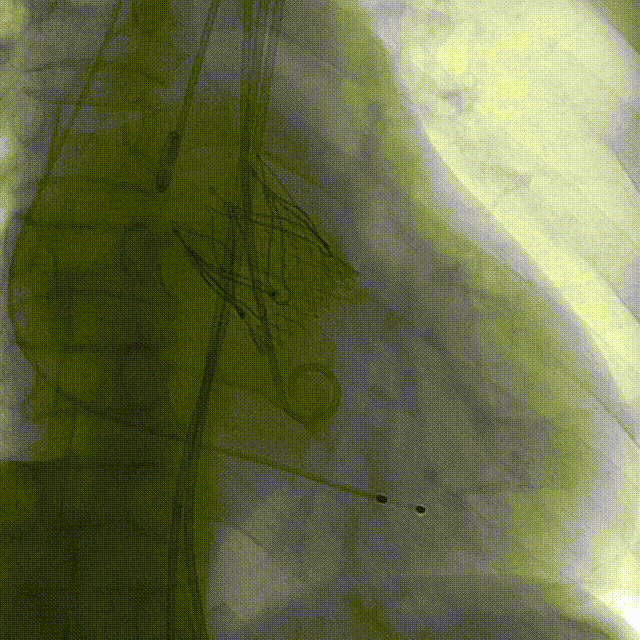
手术过程:5A 标准化流程SOP


右窦中心造影
大鞘到STJ


瓣膜调弯后解离
瓣膜右窦中心调整


定位键窦不对齐
灵活旋转操作


确认窦对齐
入窦


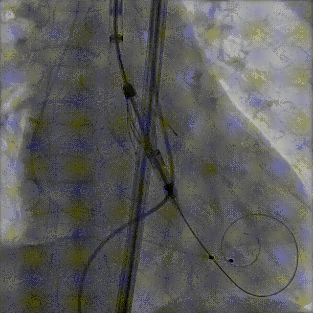
无窦超选验证
左窦超选验证


一键释放
术后造影
Case 3
瓣上风湿性粘连伴有狭窄重度反流
01
术前CT评估

02
瓣膜选择
根据瓣环与 LVOT-6 mm 平面,备后扩解决瓣上,避免瓣周漏,选择:M 号 TaurusTrio

03
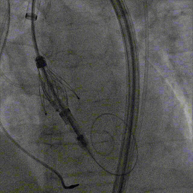
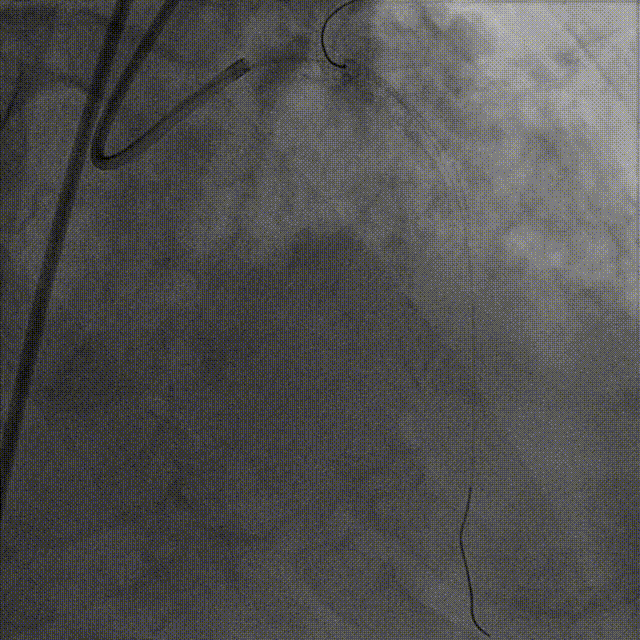
手术过程:5A 标准化流程SOP


术前右窦中心造影
大鞘植入


瓣膜调弯解离
定位键窦对齐验证


定位键入窦验证
深度检查


一键释放
后扩后造影
Case 4
重度反流心衰伴冠脉多支病变
(EF37%)
01
术前CT评估

02
瓣膜选择
根据瓣环与 LVOT-6 mm 平面,备后扩解决瓣上,避免瓣周漏,选择:M 号 TaurusTrio

03
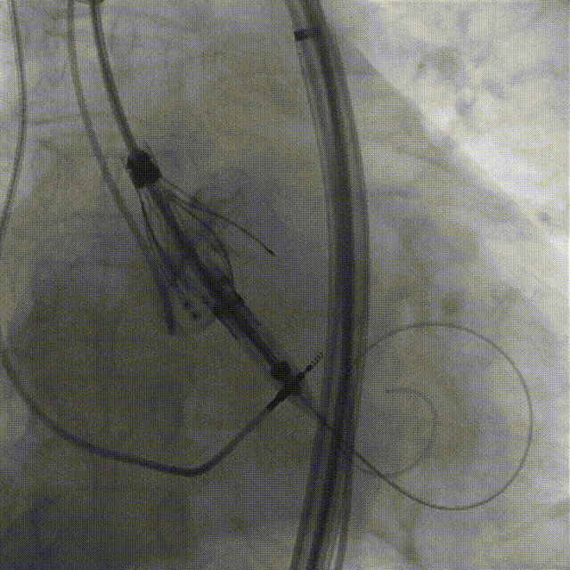
手术过程:5A 标准化流程SOP


左冠造影
小右冠,弥漫性病变


LAD术后造影
根部造影


长鞘植入
输送器定位


右窦中心对齐
定位键窦对齐


无窦确认
右窦观察


左窦确认
深度确认

一键脱钩
术后造影

04
术者经验总结
单纯主动脉瓣反流介入治疗中,器械锚定一直是临床中的难点,有了TaurusTrio这款带锚定键的瓣膜后手术更加安全简单。
易操控:
输送系统搭配可调弯设计轴向易调整,尤其是一体式定位键与系统同步轴向调整,保障各定位键入窦一致性,提高入窦效率,简化了因横位心导致的定位键难入窦,或入窦后不同轴导致瓣膜释放不稳定的问题。

一体式定位键配合系统360°旋转,主动调整定位键实现精准窦对齐。同时定位键增加了高清显影标记,DSA下能够更加清楚判断定位键入窦情况。


更安全:
独有的20F长鞘保护下操作,对于升主窦部扩张、外周血管疾病等结构非常友好,有效避免器械进出损伤。
双重锚定,让瓣膜植入更稳,简化了PAR瓣环结构挑战,术中确认只需确认好定位键入窦与深度,即可安全释放。一步释放操作简单,不存在脱钩不全或输送器退出困难等问题。

专家简介

彭小平
南昌大学第一附属医院(点击查看专家详细简历)


姜宇
南昌大学第一附属医院(点击查看专家详细简历)


郑耀富
南昌大学第一附属医院(点击查看专家详细简历)


扫码进入TaurusTrio学术专栏
延伸阅读
向上滑动阅览







· END ·

版权及免责声明:严道医声网旨在搭建学术传播及媒体发声平台,文内信息版权属于持有人,我们只提供传递信息之用。如有侵权,请联系我们删除。
点击 “阅读原文” 进入 “止反·至臻·简境|TaurusTrio学术专栏”