
生信研习,专注于生物信息学前沿动态的分享平台。我们致力于将复杂的生信知识简化,帮您解决生信发文难题,量身定制生信服务。关注我们,开启你的生信之旅!🌸🌸
禾苗今天分享的这篇研究的生信部分很有代表性:先用单细胞数据结合 Geneformer 深度学习模型,在 ccRCC 恶性细胞里做虚拟基因敲除筛选,快速锁定 TRIM28 这个新靶点,比传统“表达差异+预后”三板斧更有创新性;随后利用 TCGA、ICGC 等公共队列分析其临床意义与免疫浸润关联,机制层面又借助 SUMOylation 位点预测、ChIP富集分析、代谢组学等多组学手段支撑假说。这种“干实验锁定靶点→湿实验验证机制→虚拟筛选药物”的模式,干湿结合紧密,正好契合当下高分期刊对生信类文章的偏好。未来,像这样用前沿计算方法驱动靶点发现、再结合转化验证的思路,在肿瘤免疫和代谢领域会越来越有竞争力。
下面和禾苗一起来看具体文章内容

文章标题:TRIM28 drives immune evasion via PARP1 SUMOylation and NAD+ depletion in clear cell renal cell carcinoma
中文标题:TRIM28通过PARP1 SUMOylation和NAD+清除驱动肾透明细胞癌免疫逃避
发表期刊:J Immunother Cancer
发表时间:2025年10月
影响因子:10.6

01. 研究背景

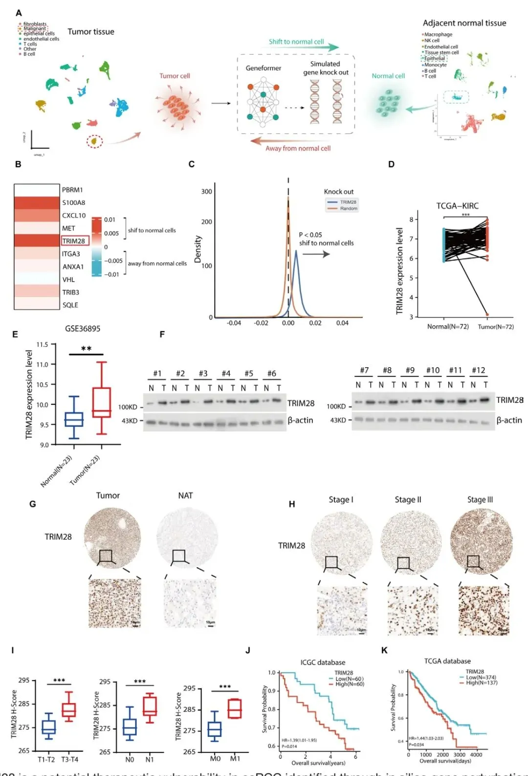
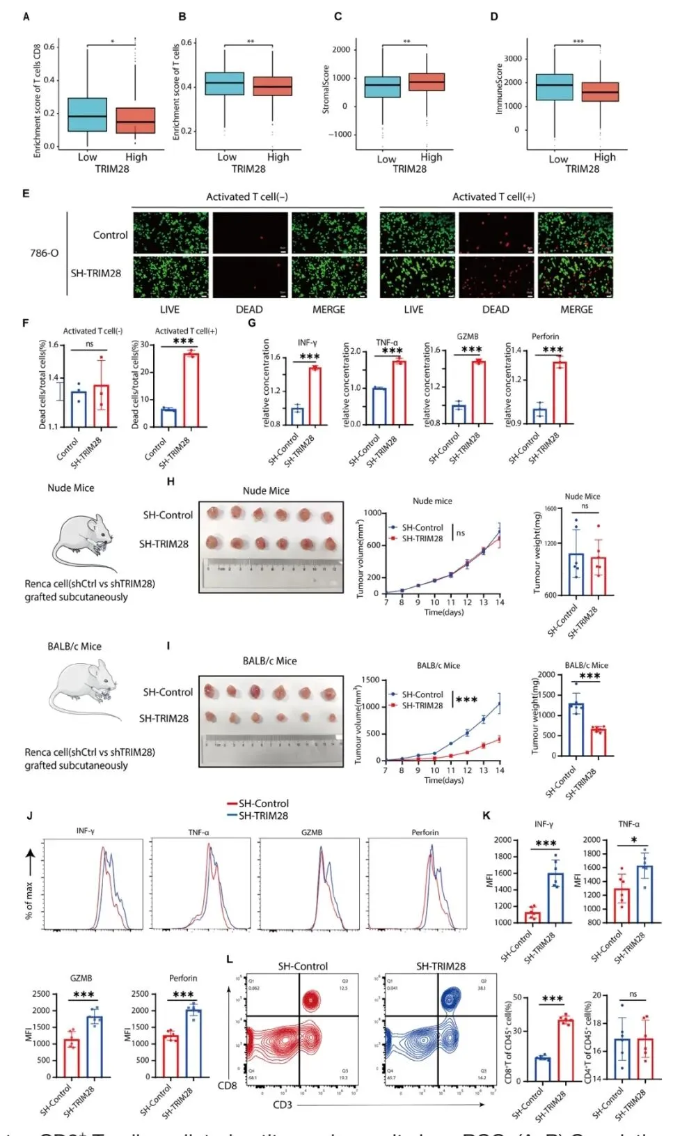
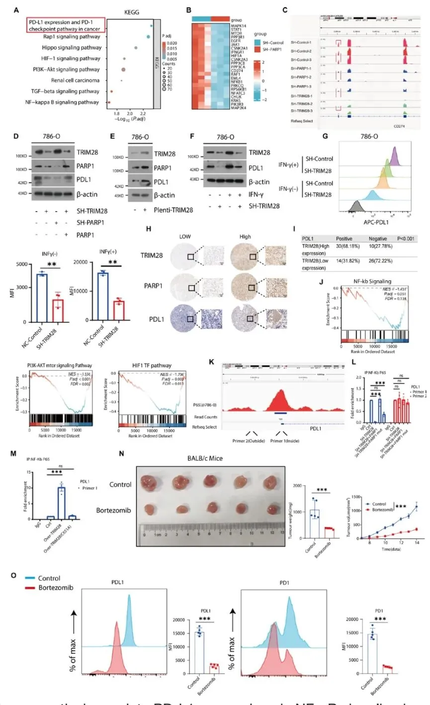
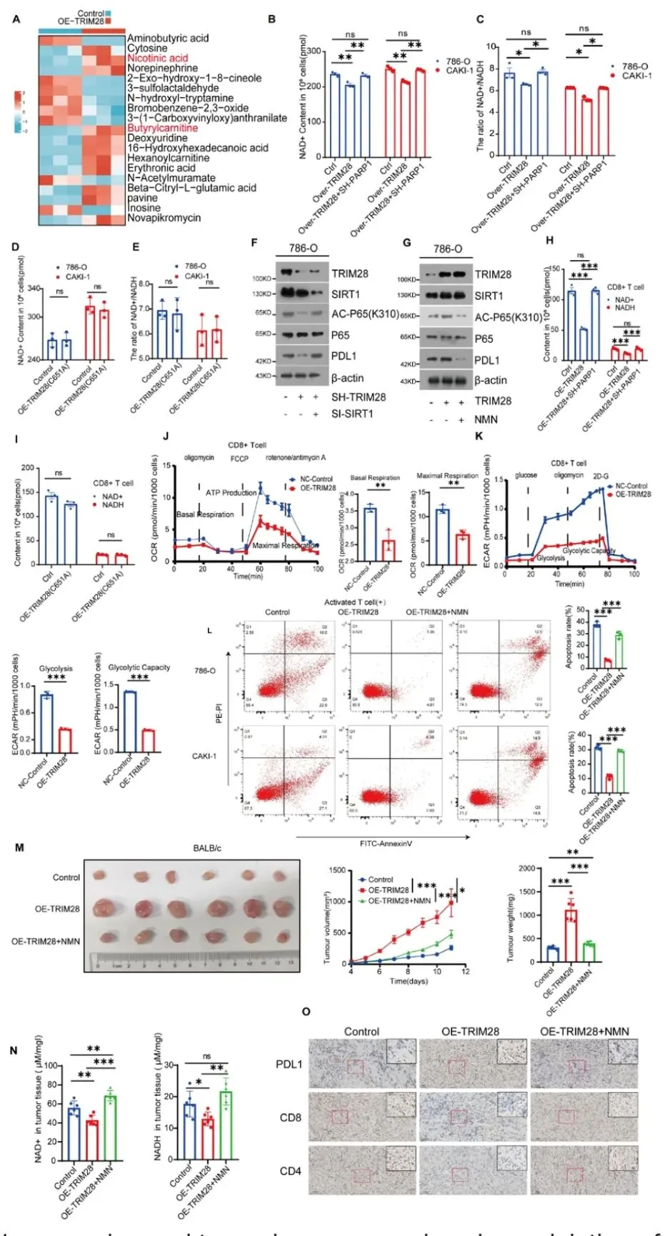
ccRCC 对 ICB 治疗响应不佳,且 CD8⁺ T 细胞高浸润与预后无关,提示存在非经典的免疫逃逸机制。SUMOylation 修饰在肿瘤免疫中发挥关键作用,但 TRIM28 作为 SUMO E3 连接酶,其在 ccRCC 免疫调控中的功能与治疗潜力尚不明确。

02. 研究方法

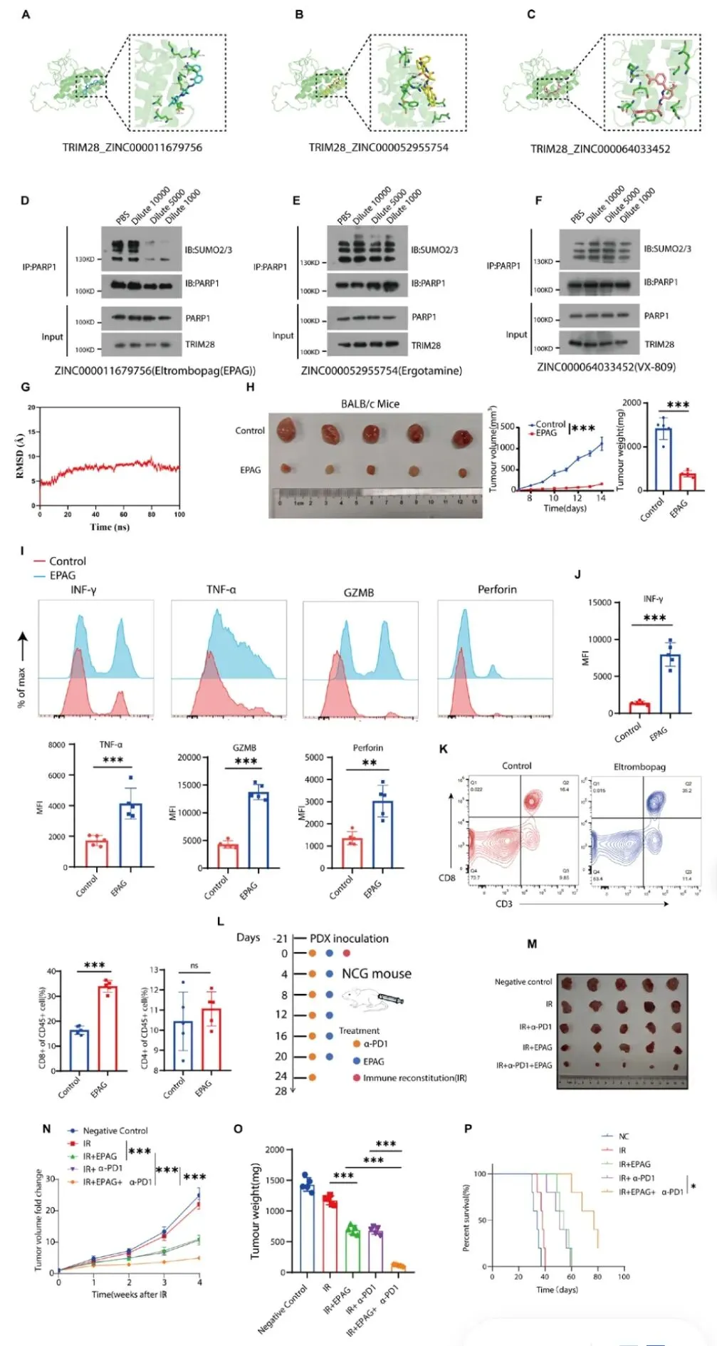
本研究采用多层次的实验方法:首先,利用单细胞转录组数据(GSE159115)结合基于深度学习的 Geneformer 模型,对 ccRCC 恶性上皮细胞进行模拟基因敲除筛选,鉴定出 TRIM28 作为潜在治疗靶点;随后,通过构建 TRIM28 敲低和过表达的稳定细胞系(786-O、CAKI-1、Renca),结合 CD8⁺ T 细胞共培养、流式细胞术、免疫缺陷与免疫健全小鼠异种移植模型,验证 TRIM28 对肿瘤免疫微环境的调控作用;在机制层面,运用免疫共沉淀、GST pull-down、质谱分析、SUMOylation/泛素化实验、染色质免疫沉淀定量 PCR(ChIP-qPCR)以及转录组测序(RNA-seq)和代谢组学(LC-MS/MS),阐明 TRIM28 与 PARP1 的相互作用及其对 NAD⁺ 代谢和 PD-L1 转录的调控机制;最后,通过基于结构的虚拟筛选与分子动力学模拟,鉴定出 TRIM28 小分子抑制剂 Eltrombopag,并在人源化免疫系统小鼠和患者来源异种移植(PDX)模型中评估其与抗 PD-1 联合治疗的疗效。

03. 研究结果










04. 研究意义



往期推荐

IF 5.1!NHANES+UKB 双数据库的联合分析:昼夜光照暴露及休息 - 活动节律与代谢相关脂肪性肝病的关联研究
IF=13.0,GBD2021 再登顶刊!32 年 204 国 URI+中耳炎零成本数据,一区 SCI 的“发文捷径”
25.8/Q1,肠道菌群如何“操控”注意力?——微生物组+代谢组+神经行为:多组学视角下的肥胖研究新突破
8.5/Q1,不养小鼠,纯生信如何“挖”出微生物促癌机制? 泛癌分析+多组学整合,一篇文讲透高分生信发文路径与避坑指南
IF=9.6,GWAS+MR一键封神:PsyRiskMR生信套路,三个月0实验也能发高分!
4.3/Q2,武大人民医院生信卷王:空转+单细胞+轨迹+互作+空间共定位五连杀,再融合TCGA突变/甲基化炼成预后模型!
