当前位置:首页>南昌>南昌大学第二附属医院 | 龚良庚教授团队:基于CT血管成像影像组学预测主动脉壁内血肿保守治疗短期预后

南昌大学第二附属医院 | 龚良庚教授团队:基于CT血管成像影像组学预测主动脉壁内血肿保守治疗短期预后

  • 2026-04-19 21:15:14
南昌大学第二附属医院 | 龚良庚教授团队:基于CT血管成像影像组学预测主动脉壁内血肿保守治疗短期预后
点击蓝字 关注我们
作者信息
龚良庚
通信作者

医学博士、教授、主任医师、博士研究生导师,南昌大学第二附属医院医学影像中心主任,智能医学工程江西省重点实验室主任

主要研究方向:

心血管、乳腺、中枢神经系统影像学,MRI新技术的应用。

学术任职:

江西省医学会常务理事、放射学分会候任主委,中华医学会放射学分会磁共振学组委员,中国医师协会放射医师分会委员,中国医促会心血管磁共振分会副主任委员,中国医学装备协会磁共振成像装备与技术专委会副主任委员,中国研究型医院学会感染与炎症放射分会副主任委员,国际心血管CT协会中国区委员会委员,心血管磁共振协会中国区委员会委员。

先后主持国家自然科学基金3项、江西省自然基金及科技支撑计划等重点5项,其余省厅级课题10余项。发表SCI及核心期刊收录论文70余篇,参编专著5部。

上下滑动查看更多信息

赵祯义 

第一作者

医学硕士、初级医师

发表SCI及核心期刊收录论文3篇。

01
文章来源
  • 作者

赵祯义1,2,王靖芝1,周淑丽1,2,彭云1,2,龚良庚1,2*

  • 本文引用格式

[1]赵祯义,王靖芝,周淑丽,等.基于CT血管成像影像组学预测主动脉壁内血肿保守治疗短期预后[J].中国医学影像学杂志,2026,34(3):324-329.DOI:10.3969/j.issn.1005-5185.2026.03.013 .

02
摘要
  • 目的

探究基于CT血管成像(CTA)的临床-影像组学联合模型对主动脉壁内血肿保守治疗短期预后的预测价值。

  • 资料与方法

回顾性收集2017年1月—2022年12月南昌大学第二附属医院经CTA确诊的119例主动脉壁内血肿患者临床和影像资料,所有患者进行保守治疗,并均行多次胸腹部CTA随访。在CTA图像上手动逐层勾画主动脉(包括真腔和假腔)进行特征提取和影像组学分析。根据患者随访复查CTA情况,将患者分为预后不良47例和预后良好72例。按7∶3随机分为训练集84例和测试集35例。从临床特征中筛选壁内血肿短期进展的危险因素,构建临床模型。采用最小绝对收缩与选择算子算法选择最优影像组学特征。将筛选的临床预测因素与影像组学特征整合,构建临床-影像组学联合模型和列线图。采用受试者工作特征曲线评估模型性能。通过校准曲线评估准确性和可靠性。采用决策曲线分析模型的临床效用。

  • 结果 

预后不良与预后良好患者年龄和性别差异有统计学意义(t=2.608,X2=4.909,P<0.05),且年龄是独立危险因素(OR=0.962,P=0.040)。联合模型在训练集的曲线下面积为0.829,准确度、敏感度、特异度分别为73.8%、93.9%、60.8%,高于影像组学模型和临床模型的曲线下面积(0.812、0.677)。Delong检验显示,联合模型效能优于临床模型(Z=-2.610,P<0.05),影像组学模型与联合模型的效能差异无统计学意义(Z=-1.005,P>0.05)。校准曲线显示联合模型在训练集及测试集中的拟合优度良好。决策曲线显示影像组学模型和联合模型的临床效用均高于临床模型。

  • 结论  

基于CTA的临床-影像组学联合模型对主动脉壁内血肿保守治疗短期预后具有较好的预测效能。

主动脉壁内血肿(aortic intramural hematoma,IMH)是急性主动脉综合征的一种特殊类型,发病率和死亡率较高。CT血管成像(CTA)是IMH诊断和随访的重要影像学方法,表现为主动脉环绕环形或新月形低密度影[1]。主动脉夹层的Stanford分型也适用于IMH,可根据升主动脉是否受累分为A型和B型IMH。不同类型IMH的临床治疗方案存在差异,无并发症的B型IMH患者首选保守治疗与影像学监测[2],而稳定且无并发症的A型IMH患者是否必须早期手术干预尚存争议。部分A型IMH患者接受药物治疗后结局良好,尤其是处于稳定期且影像上未出现溃疡样突起等特异性征象者[3-4],保守治疗后此类患者可与手术治疗的A型IMH患者和保守治疗的B型IMH患者出院生存率相近[5];但缺少这类特异性影像学征象选择保守治疗的患者仍有进展风险,因此,有效评估这类IMH患者保守治疗的预后风险至关重要。影像组学能够量化病变的内在信息特征,CTA影像组学在预测腹主动脉瘤进展和不良事件中已取得良好效果[6],提示基于CTA的IMH影像组学研究具有潜力。本研究拟探究基于CTA的临床影像组学模型对IMH患者保守治疗短期预后的预测价值,为临床选择治疗方案和评估患者预后提供参考。

1
资料与方法

1.1  研究对象 

回顾性收集2017年1月—2022年12月南昌大学第二附属医院119例IMH患者的临床和CTA资料,男81例,女38例,年龄36~88岁,平均(62.0± 10.9)岁。纳入标准:①经胸腹部CTA确诊IMH(动脉壁呈环形或新月形突出超过5 mm,其内无强化血流[7-8]);②随访复查CTA影像资料完整,可评估预后;③采用保守治疗。排除标准:①其他心血管及主动脉疾病;②IMH累及主动脉分支动脉(如头臂干、肾动脉、髂动脉等);③首诊CTA即存在提示可能预后不良的特异性影像学征象(如溃疡样突起、胸腔积液、心包积液);④CTA图像质量差,无法准确勾画感兴趣区(ROI)或准确评估;⑤临床或影像资料不全。收集患者性别、年龄、Stanford分型、高血压和糖尿病史、吸烟饮酒史、白细胞计数、主动脉最大直径和最大血肿厚度。本研究已通过南昌大学第二附属医院医学伦理委员会审核批准(BR/AF/SG-03/1.0),免除患者知情同意。

1.2  仪器及方法  

患者均接受保守治疗,包括严格控制血压,静脉使用降压药物,同时给予镇静、镇痛药物。患者禁食4~6 h后接受仰卧位扫描。使用Philips Brilliance iCT和Philips IQon CT扫描仪进行图像采集,管电压120 kV,自动管电流,轴向图像重建参数矩阵512×512,层厚和层间距均为1 mm。扫描范围从胸腔入口至耻骨联合平面。经肘静脉以3.5~5.0 ml/s注射60~70 ml碘普罗胺(370 mgI/ml,拜耳),在主动脉弓造影剂阈值达150 Hu时触发扫描。在GE工作站获取三维重建图像,包括容积再现技术、最大密度投影、曲面重组、多平面重组,并以DICOM格式导出。由2名具有5年以上工作经验的放射科医师评估患者CTA图像。在垂直于主动脉长轴的曲面重建上测量主动脉最大直径和最大血肿厚度,并在多平面重组上对测量进行校准。平均随访时间为3个月,根据随访复查CTA情况,将患者分为预后不良组47例与预后良好组72例。预后不良定义为血肿厚度和范围增加、进展为主动脉夹层、IMH进展为穿透性主动脉溃疡、随访CTA显示动脉瘤样扩张甚至出现主动脉源性死亡。

1.3  图像处理及影像组学分析

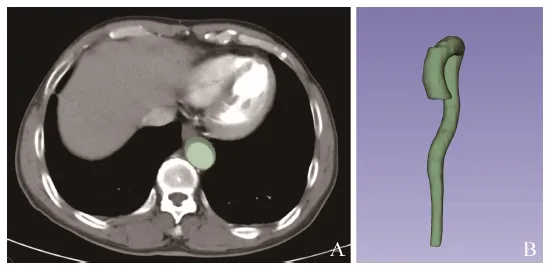
使用3D Slicer 5.2.2软件(www.slicer.org)手动勾画ROI。采用线性插值法将图像标准化为1 mm×1 mm×5 mm。因本研究重点关注主动脉形态和变化,ROI勾画范围包括全程胸腹主动脉(从升主动脉起始至髂动脉起始水平),仅勾画主动脉主干,未勾画主动脉分叉(图1)。由1名具有3年工作经验的放射科医师进行ROI分割,在横断面上逐层半自动勾画ROI,在冠状面和矢状面上进一步完善和修改。使用3D Slicer中的Radiomics插件(版本号:aa418a5)提取影像组学特征,共得到851个影像组学特征,包括形状特征、一阶特征、纹理特征(如灰度共生矩阵、灰度区域大小矩阵、灰度游程矩阵、邻域灰度差矩阵、灰度依赖矩阵等)和744个小波特征。为确保影像组学特征的稳定性,由另1名放射科医师对45例患者图像(38%)进行ROI分割。保留组内相关系数(ICC)>0.8的特征,以增强模型的稳定性。将119例患者按7∶3分为训练集84例和测试集35例。使用最小绝对收缩与选择算子算法在训练集中进行特征选择。通过十折交叉验证,确定最小λ值,从而识别最优影像组学特征并评估其系数。计算每例患者的影像组学评分,通过Logistic回归分析构建影像组学模型。

图1  横轴位CTA图像示手动逐层沿病灶边缘勾画ROI(绿色区域,A)与分割ROI后生成的3D示意图(B)。CTA为CT血管成像,ROI为感兴趣区

1.4  临床模型和联合模型建立  

对IMH患者的临床资料进行单因素分析,将P<0.05的变量进行多因素Logistic回归分析筛选影响预后的临床因素,建立临床模型。将临床因素、影像组学评分纳入Logistic回归构建联合模型,并绘制列线图。

1.5  统计学方法  

采用SPSS 26.0软件。计量资料使用Shapiro-Wilk检验分析其正态性,符合正态分布者以均数±标准差表示,非正态分布者以M(Q1,Q3)表示,采用独立样本t检验或Mann-Whitney U检验比较。计数资料以例(%)表示,采用X2检验或Fisher精确概率法比较。绘制受试者工作特征曲线,使用曲线下面积(AUC)、准确度、敏感度、特异度等评估3个模型的稳定性和准确性。采用Delong检验比较各模型的效能差异。使用决策曲线分析模型的临床效用。P<0.05为差异有统计学意义。

2
结果

2.1  两组临床资料及实验室指标比较  

训练集84例中,预后良好组50例,预后不良组34例;验证集35例中,预后良好组22例,预后不良组13例。训练集和验证集年龄、性别等基线资料差异无统计学意义(X2/t=-0.73~0.67,P>0.05),确保分组均衡。单因素分析显示预后良好组和预后不良组性别、年龄差异有统计学意义(P<0.05),Stanford分型、高血压和糖尿病史、吸烟饮酒史、白细胞计数、主动脉最大直径和最大血肿厚度差异均无统计学意义(P>0.05),见表1。将性别和年龄纳入多因素Logistic回归分析,结果显示年龄是预测IMH短期预后的独立危险因素(OR=0.962,95% CI 0.927~0.998,P=0.040),性别不是预测IMH短期预后的独立危险因素(OR=2.385,95% CI 0.978~5.815,P=0.056)。

2.2  影像组学特征筛选

排除ICC<0.8的影像组学特征后,剩余830个特征。利用最小绝对收缩与选择算子算法筛选出11个系数非零的最优特征(图2、3),其中包括2个形态特征、4个一阶特征和5个纹理特征,部分特征为经小波转换的小波特征。原始形态特征包括伸长率和最大长轴长度,一阶特征包括均值、中值和偏度,纹理特征包括长行程高灰度强调、集群阴影、区域熵、大区域低灰度强调和灰度不均匀性。在训练集和测试集中,预后不良组的影像组学评分均显著高于预后良好组(P<0.05),见图4。

图2  最小绝对收缩与选择算子算法筛选最优影像组学特征分布(A)与最小绝对收缩与选择算子算法的λ参数选值(B)

图3  筛选出的11个最优影像组学特征及其系数

图4  训练集和测试集影像组学评分。A.训练集;B.测试集

2.3  构建预测模型和列线图 

分别将筛选的临床特征和影像组学特征构建临床模型和影像组学模型,将两者结合构建联合模型并绘制列线图(图5)。3种模型在训练集和测试集的效能见表2。基于年龄和性别构建的临床模型在训练集和验证集的AUC分别为0.677和0.590。在训练集中,影像组学模型的AUC(0.812)和联合模型的AUC(0.829)区分预后良好组和预后不良组明显优于临床模型。Delong检验显示,联合模型的预测效能显著优于临床模型(Z=-2.610,P<0.05),影像组学模型与联合模型的AUC差异无统计学意义(Z=-1.005,P>0.05)。校准曲线(图6)显示,在训练集和测试集中,联合模型预测概率和实际概率的一致性较高。决策曲线(图7)分析显示,与单纯临床模型相比,影像组学模型和联合模型列线图预测IMH保守治疗短期预后的性能更好。

图5  临床-影像组学联合模型可视化列线图 

图6  临床-影像组学联合模型校准曲线。A.训练集;B.验证集

图7  临床模型、影像组学模型和联合模型决策曲线

3
讨论

本研究构建并验证了一种基于CTA影像组学的临床-影像组学联合预测模型,该联合模型对IMH患者保守治疗的短期预后具有良好的预测效能,显著优于单纯临床模型。通过整合临床危险因素与深层次的影像组学特征,该模型为无典型高危影像学特征IMH患者的风险分层提供了一个客观量化工具,有望协助临床医师更早识别潜在的高危患者,从而为制订个体化治疗与随访策略提供参考。

3.1  主要研究结果及临床价值分析

本研究临床模型显示年龄和性别与IMH患者预后相关,且年龄是独立危险因素。主动脉硬度和主动脉扩张度随年龄增长而增加[9],这些特性不利于主动脉重塑,可能是导致高龄患者预后不佳的原因。男性患者预后较女性更差,这可能与女性主动脉扩张程度更低和雌激素对主动脉保护作用有关[10]。本研究结果显示高血压并非IMH预后的影响因素,这可能与临床针对IMH患者保守治疗中常规应用降压药有关。此外,Standard分型与IMH预后无显著相关性,与Song等[11]研究中127例A型和B型保守治疗IMH患者血肿退化消散或进展为夹层的发生率类似结论一致,提示符合特定标准的A型IMH患者同样可采用保守治疗,但其长期生存率和受益是否优于早期手术仍需长期大样本研究验证。

本研究影像组学模型中,11个最优特征中包含2个形态特征(伸长率和最大长轴长度)、4个一阶特征和5个纹理特征,这些特征描述了图像中主动脉和IMH的形态、基本单位(体素)的强度分布和病变区域的表面性质。本研究结果显示影像组学模型预测IMH短期预后的能力良好,这可能与形态特征表征主动脉血管和IMH病变的结构和形态,并通过一阶特征和纹理特征等定量参数反映主动脉和IMH病变的异质性和稳定性有关。此外,针对整个主动脉区域的分割方式可能有助于识别和分析潜在的主动脉和IMH内成分和血管动力学特征。在训练集和验证集中,联合模型与影像组学模型的AUC均明显优于临床模型,但联合模型与影像组学模型的效能无显著差异,这可能与临床模型的AUC较低有关。通过结合临床特征和影像组学特征开发列线图,可为临床医师评估患者病情、风险分层与个体化治疗提供参考。

3.2  IMH相关研究的对比分析  

本研究在筛选影像组学特征时,ICC>0.8者占97.5%,与Park等[12]研究显示IMH影像组学特征的ICC较高类似,提示影像组学特征评估IMH时具有良好的可重复性。Ma等[13]利用影像组学模型在CT平扫上识别和诊断IMH最佳分类器的AUC为0.993;本研究预测IMH保守治疗短期预后的AUC达到0.829,虽然二者评估内容不一样,但表明影像组学在IMH诊断及预后评估方面均具有较高的应用价值。

影像组学在IMH保守治疗方面的预后研究较少,本研究样本量和实验流程与Ding等[14]的研究相似,但在纳入、排除标准和勾画方法上存在差异。本研究排除首次CTA即出现溃疡样突起、心包积液、胸腔积液等特殊影像学表现病例,既往研究表明这些患者预后普遍较差[15-16],早期手术干预可能是更好的选择,排除这些病例可能会减少预测结果产生的偏倚。Ding等[14]在勾画方式上仅分割血肿区域,而本研究的分割范围是从升主动脉起始处至髂动脉起始水平,包括主动脉真腔和血肿,能更好地捕捉到IMH发生后主动脉整体发生的变化。基于上述方法的完善,本研究联合模型的AUC在训练集和验证集中均高于Ding等[14]的预测效能。

3.3  本研究的局限性

为单中心、小样本研究,还需要进一步提高结果的可靠性;在收集回顾性资料时,缺少更详细的临床数据,可能会导致临床模型的诊断效能偏低,前瞻性大样本研究可能有利于提高临床模型的性能。未来对IMH患者术后与保守治疗预后和远期生存率进行研究,其临床意义可能会更深远。

总之,本研究通过基于CTA影像组学分析,发现临床-影像组学联合模型具有较高的预测性能,其预测IMH保守治疗患者短期预后具有重要潜在价值,有望为临床选择个体化治疗方案和评估IMH进展风险提供一定指导和参考。

利益冲突  所有作者均声明不存在利益冲突

参考文献

[1]Mazzolai L, Teixido-Tura G, Lanzi S, et al. 2024 ESC guidelines for the management of peripheral arterial and aortic diseases[J]. Eur Heart J, 2024, 45(36): 3538-3700. DOI: 10.1093/eurheartj/ehae179. 

[2]Nebelung H, Hoffmann RT, Plodeck V, et al. Outcome after conservative and endovascular treatment of stanford type B aortic intramural hematomas - a single-center retrospective study[J]. Vasc Endovascular Surg, 2024, 58(5): 477-485. DOI: 10.1177/15385744231225888.

[3]Chow SCY, Wong RHL, Lakhani I, et al. Management of acute type A intramural hematoma: upfront surgery or individualized approach? A retrospective analysis and meta-analysis[J]. J Thorac Dis, 2020, 12(3): 680-689. DOI: 10.21037/jtd.2019.12.109.

[4]Qin H, Wei L, Zhang B, et al. Clinical medical decision-making of acute aortic intramural hematoma: a non-randomized retrospective case study[J]. J Interv Med, 2020, 3(3): 132-135. DOI: 10.1016/j.jimed.2020.07.005.

[5]Abdu RW, Long GW, Baker D, et al. Intramural hematoma of the thoracic aorta: a single-institution, 12-year experience[J]. J Vasc Surg, 2022, 75(6): 1872-1881.e1. DOI: 10.1016/j.jvs. 2021.12.077.

[6]Wang Y, Liu F, Wu S, et al. CTA-based radiomics and area change rate predict infrarenal abdominal aortic aneurysms patients events: a multicenter study[J]. Acad Radiol, 2024, 31(8): 3165-3176. DOI: 10.1016/j.acra.2024.01.017.

[7]向俾桃, 杨阳, 丘俊涛, 等. 主动脉壁内血肿的诊疗现状[J]. 中国心血管杂志, 2019, 24(1): 79-82. DOI: 10.3969/ j.issn.1007-5410.2019.01.012.

[8]Sorber R, Hicks CW. Diagnosis and management of acute aortic syndromes: dissection, penetrating aortic ulcer, and intramural hematoma[J]. Curr Cardiol Rep, 2022, 24(3): 209-216. DOI: 10.1007/s11886-022-01642-3. 

[9]Bai W, Suzuki H, Huang J, et al. A population-based phenome-wide association study of cardiac and aortic structure and function[J]. Nat Med, 2020, 26(10): 1654-1662. DOI: 10.1038/s41591-020-1009-y.

[10]Villard C, Roy J, Bogdanovic M, et al. Sex hormones in men with abdominal aortic aneurysm[J]. J Vasc Surg, 2021, 74(6): 2023-2029. DOI: 10.1016/j.jvs.2021.06.020.

[11]Song JK, Kim HS, Song JM, et al. Outcomes of medically treated patients with aortic intramural hematoma[J]. Am J Med, 2002, 113(3): 181-187. DOI: 10.1016/s0002-9343 (02)01171-3.

[12]Park SI, Kim D, Jung SC, et al. Feasibility and intra-and interobserver reproducibility of quantitative susceptibility mapping with radiomic features for intracranial dissecting intramural hematomas and atherosclerotic calcifications[J]. Sci Rep, 2023, 13(1): 3651. DOI: 10.1038/s41598-023-30745-2.

[13]Ma Z, Jin L, Zhang L, et al. Diagnosis of acute aortic syndromes on non-contrast CT images with radiomics-based machine learning[J]. Biology, 2023, 12(3): 337. DOI: 10.3390/biology12030337.

[14]Ding Y, Zhang C, Wu W, et al. A radiomics model based on aortic computed tomography angiography: the impact on predicting the prognosis of patients with aortic intramural hematoma (IMH)[J]. Quant Imaging Med Surg, 2023, 13(2): 598-609. DOI: 10.21037/qims-22-480.

[15]Gutschow SE, Walker CM, Martínez-Jiménez S, et al. Emerging concepts in intramural hematoma imaging[J]. Radiographics, 2016, 36(3): 660-674. DOI: 10.1148/rg. 2016150094.

[16]许妍, 刘家祎, 刘东婷, 等. 多排CT在主动脉壁内血肿诊断及预后中的价值[J]. 心肺血管病杂志, 2023, 42(9): 970-973. DOI: 10.3969/j.issn.1007-5062.2023.09.017.

向下滑动查看更多参考文献

版权声明

本文为《中国医学影像学杂志》原创文章。若您需要转载本文,请通过公众号联系本刊编辑部获得授权,并在醒目位置注明“原文刊发于《中国医学影像学杂志》,卷(期):起止页码”,期待与您的合作!

扫码关注本刊微信公众号、微信视频号
微信公众号
微信视频号

杂志微信公众号 | zgyxyxx

本刊官网 | http://zyyz.cbpt.cnki.net

编辑部电话 | 010-64012981转5200;15110102619

点击阅读原文,进入本刊官网

最新文章

随机文章

基本 文件 流程 错误 SQL 调试
  1. 请求信息 : 2026-04-20 00:12:20 HTTP/2.0 GET : https://a.460.net.cn/a/500487.html
  2. 运行时间 : 0.207343s [ 吞吐率:4.82req/s ] 内存消耗:4,584.59kb 文件加载:140
  3. 缓存信息 : 0 reads,0 writes
  4. 会话信息 : SESSION_ID=0ce7d6148bd0fe9c2e709770e13cbd7b
  1. /yingpanguazai/ssd/ssd1/www/a.460.net.cn/public/index.php ( 0.79 KB )
  2. /yingpanguazai/ssd/ssd1/www/a.460.net.cn/vendor/autoload.php ( 0.17 KB )
  3. /yingpanguazai/ssd/ssd1/www/a.460.net.cn/vendor/composer/autoload_real.php ( 2.49 KB )
  4. /yingpanguazai/ssd/ssd1/www/a.460.net.cn/vendor/composer/platform_check.php ( 0.90 KB )
  5. /yingpanguazai/ssd/ssd1/www/a.460.net.cn/vendor/composer/ClassLoader.php ( 14.03 KB )
  6. /yingpanguazai/ssd/ssd1/www/a.460.net.cn/vendor/composer/autoload_static.php ( 4.90 KB )
  7. /yingpanguazai/ssd/ssd1/www/a.460.net.cn/vendor/topthink/think-helper/src/helper.php ( 8.34 KB )
  8. /yingpanguazai/ssd/ssd1/www/a.460.net.cn/vendor/topthink/think-validate/src/helper.php ( 2.19 KB )
  9. /yingpanguazai/ssd/ssd1/www/a.460.net.cn/vendor/topthink/think-orm/src/helper.php ( 1.47 KB )
  10. /yingpanguazai/ssd/ssd1/www/a.460.net.cn/vendor/topthink/think-orm/stubs/load_stubs.php ( 0.16 KB )
  11. /yingpanguazai/ssd/ssd1/www/a.460.net.cn/vendor/topthink/framework/src/think/Exception.php ( 1.69 KB )
  12. /yingpanguazai/ssd/ssd1/www/a.460.net.cn/vendor/topthink/think-container/src/Facade.php ( 2.71 KB )
  13. /yingpanguazai/ssd/ssd1/www/a.460.net.cn/vendor/symfony/deprecation-contracts/function.php ( 0.99 KB )
  14. /yingpanguazai/ssd/ssd1/www/a.460.net.cn/vendor/symfony/polyfill-mbstring/bootstrap.php ( 8.26 KB )
  15. /yingpanguazai/ssd/ssd1/www/a.460.net.cn/vendor/symfony/polyfill-mbstring/bootstrap80.php ( 9.78 KB )
  16. /yingpanguazai/ssd/ssd1/www/a.460.net.cn/vendor/symfony/var-dumper/Resources/functions/dump.php ( 1.49 KB )
  17. /yingpanguazai/ssd/ssd1/www/a.460.net.cn/vendor/topthink/think-dumper/src/helper.php ( 0.18 KB )
  18. /yingpanguazai/ssd/ssd1/www/a.460.net.cn/vendor/symfony/var-dumper/VarDumper.php ( 4.30 KB )
  19. /yingpanguazai/ssd/ssd1/www/a.460.net.cn/vendor/topthink/framework/src/think/App.php ( 15.30 KB )
  20. /yingpanguazai/ssd/ssd1/www/a.460.net.cn/vendor/topthink/think-container/src/Container.php ( 15.76 KB )
  21. /yingpanguazai/ssd/ssd1/www/a.460.net.cn/vendor/psr/container/src/ContainerInterface.php ( 1.02 KB )
  22. /yingpanguazai/ssd/ssd1/www/a.460.net.cn/app/provider.php ( 0.19 KB )
  23. /yingpanguazai/ssd/ssd1/www/a.460.net.cn/vendor/topthink/framework/src/think/Http.php ( 6.04 KB )
  24. /yingpanguazai/ssd/ssd1/www/a.460.net.cn/vendor/topthink/think-helper/src/helper/Str.php ( 7.29 KB )
  25. /yingpanguazai/ssd/ssd1/www/a.460.net.cn/vendor/topthink/framework/src/think/Env.php ( 4.68 KB )
  26. /yingpanguazai/ssd/ssd1/www/a.460.net.cn/app/common.php ( 0.03 KB )
  27. /yingpanguazai/ssd/ssd1/www/a.460.net.cn/vendor/topthink/framework/src/helper.php ( 18.78 KB )
  28. /yingpanguazai/ssd/ssd1/www/a.460.net.cn/vendor/topthink/framework/src/think/Config.php ( 5.54 KB )
  29. /yingpanguazai/ssd/ssd1/www/a.460.net.cn/config/app.php ( 0.95 KB )
  30. /yingpanguazai/ssd/ssd1/www/a.460.net.cn/config/cache.php ( 0.78 KB )
  31. /yingpanguazai/ssd/ssd1/www/a.460.net.cn/config/console.php ( 0.23 KB )
  32. /yingpanguazai/ssd/ssd1/www/a.460.net.cn/config/cookie.php ( 0.56 KB )
  33. /yingpanguazai/ssd/ssd1/www/a.460.net.cn/config/database.php ( 2.48 KB )
  34. /yingpanguazai/ssd/ssd1/www/a.460.net.cn/vendor/topthink/framework/src/think/facade/Env.php ( 1.67 KB )
  35. /yingpanguazai/ssd/ssd1/www/a.460.net.cn/config/filesystem.php ( 0.61 KB )
  36. /yingpanguazai/ssd/ssd1/www/a.460.net.cn/config/lang.php ( 0.91 KB )
  37. /yingpanguazai/ssd/ssd1/www/a.460.net.cn/config/log.php ( 1.35 KB )
  38. /yingpanguazai/ssd/ssd1/www/a.460.net.cn/config/middleware.php ( 0.19 KB )
  39. /yingpanguazai/ssd/ssd1/www/a.460.net.cn/config/route.php ( 1.89 KB )
  40. /yingpanguazai/ssd/ssd1/www/a.460.net.cn/config/session.php ( 0.57 KB )
  41. /yingpanguazai/ssd/ssd1/www/a.460.net.cn/config/trace.php ( 0.34 KB )
  42. /yingpanguazai/ssd/ssd1/www/a.460.net.cn/config/view.php ( 0.82 KB )
  43. /yingpanguazai/ssd/ssd1/www/a.460.net.cn/app/event.php ( 0.25 KB )
  44. /yingpanguazai/ssd/ssd1/www/a.460.net.cn/vendor/topthink/framework/src/think/Event.php ( 7.67 KB )
  45. /yingpanguazai/ssd/ssd1/www/a.460.net.cn/app/service.php ( 0.13 KB )
  46. /yingpanguazai/ssd/ssd1/www/a.460.net.cn/app/AppService.php ( 0.26 KB )
  47. /yingpanguazai/ssd/ssd1/www/a.460.net.cn/vendor/topthink/framework/src/think/Service.php ( 1.64 KB )
  48. /yingpanguazai/ssd/ssd1/www/a.460.net.cn/vendor/topthink/framework/src/think/Lang.php ( 7.35 KB )
  49. /yingpanguazai/ssd/ssd1/www/a.460.net.cn/vendor/topthink/framework/src/lang/zh-cn.php ( 13.70 KB )
  50. /yingpanguazai/ssd/ssd1/www/a.460.net.cn/vendor/topthink/framework/src/think/initializer/Error.php ( 3.31 KB )
  51. /yingpanguazai/ssd/ssd1/www/a.460.net.cn/vendor/topthink/framework/src/think/initializer/RegisterService.php ( 1.33 KB )
  52. /yingpanguazai/ssd/ssd1/www/a.460.net.cn/vendor/services.php ( 0.14 KB )
  53. /yingpanguazai/ssd/ssd1/www/a.460.net.cn/vendor/topthink/framework/src/think/service/PaginatorService.php ( 1.52 KB )
  54. /yingpanguazai/ssd/ssd1/www/a.460.net.cn/vendor/topthink/framework/src/think/service/ValidateService.php ( 0.99 KB )
  55. /yingpanguazai/ssd/ssd1/www/a.460.net.cn/vendor/topthink/framework/src/think/service/ModelService.php ( 2.04 KB )
  56. /yingpanguazai/ssd/ssd1/www/a.460.net.cn/vendor/topthink/think-trace/src/Service.php ( 0.77 KB )
  57. /yingpanguazai/ssd/ssd1/www/a.460.net.cn/vendor/topthink/framework/src/think/Middleware.php ( 6.72 KB )
  58. /yingpanguazai/ssd/ssd1/www/a.460.net.cn/vendor/topthink/framework/src/think/initializer/BootService.php ( 0.77 KB )
  59. /yingpanguazai/ssd/ssd1/www/a.460.net.cn/vendor/topthink/think-orm/src/Paginator.php ( 11.86 KB )
  60. /yingpanguazai/ssd/ssd1/www/a.460.net.cn/vendor/topthink/think-validate/src/Validate.php ( 63.20 KB )
  61. /yingpanguazai/ssd/ssd1/www/a.460.net.cn/vendor/topthink/think-orm/src/Model.php ( 23.55 KB )
  62. /yingpanguazai/ssd/ssd1/www/a.460.net.cn/vendor/topthink/think-orm/src/model/concern/Attribute.php ( 21.05 KB )
  63. /yingpanguazai/ssd/ssd1/www/a.460.net.cn/vendor/topthink/think-orm/src/model/concern/AutoWriteData.php ( 4.21 KB )
  64. /yingpanguazai/ssd/ssd1/www/a.460.net.cn/vendor/topthink/think-orm/src/model/concern/Conversion.php ( 6.44 KB )
  65. /yingpanguazai/ssd/ssd1/www/a.460.net.cn/vendor/topthink/think-orm/src/model/concern/DbConnect.php ( 5.16 KB )
  66. /yingpanguazai/ssd/ssd1/www/a.460.net.cn/vendor/topthink/think-orm/src/model/concern/ModelEvent.php ( 2.33 KB )
  67. /yingpanguazai/ssd/ssd1/www/a.460.net.cn/vendor/topthink/think-orm/src/model/concern/RelationShip.php ( 28.29 KB )
  68. /yingpanguazai/ssd/ssd1/www/a.460.net.cn/vendor/topthink/think-helper/src/contract/Arrayable.php ( 0.09 KB )
  69. /yingpanguazai/ssd/ssd1/www/a.460.net.cn/vendor/topthink/think-helper/src/contract/Jsonable.php ( 0.13 KB )
  70. /yingpanguazai/ssd/ssd1/www/a.460.net.cn/vendor/topthink/think-orm/src/model/contract/Modelable.php ( 0.09 KB )
  71. /yingpanguazai/ssd/ssd1/www/a.460.net.cn/vendor/topthink/framework/src/think/Db.php ( 2.88 KB )
  72. /yingpanguazai/ssd/ssd1/www/a.460.net.cn/vendor/topthink/think-orm/src/DbManager.php ( 8.52 KB )
  73. /yingpanguazai/ssd/ssd1/www/a.460.net.cn/vendor/topthink/framework/src/think/Log.php ( 6.28 KB )
  74. /yingpanguazai/ssd/ssd1/www/a.460.net.cn/vendor/topthink/framework/src/think/Manager.php ( 3.92 KB )
  75. /yingpanguazai/ssd/ssd1/www/a.460.net.cn/vendor/psr/log/src/LoggerTrait.php ( 2.69 KB )
  76. /yingpanguazai/ssd/ssd1/www/a.460.net.cn/vendor/psr/log/src/LoggerInterface.php ( 2.71 KB )
  77. /yingpanguazai/ssd/ssd1/www/a.460.net.cn/vendor/topthink/framework/src/think/Cache.php ( 4.92 KB )
  78. /yingpanguazai/ssd/ssd1/www/a.460.net.cn/vendor/psr/simple-cache/src/CacheInterface.php ( 4.71 KB )
  79. /yingpanguazai/ssd/ssd1/www/a.460.net.cn/vendor/topthink/think-helper/src/helper/Arr.php ( 16.63 KB )
  80. /yingpanguazai/ssd/ssd1/www/a.460.net.cn/vendor/topthink/framework/src/think/cache/driver/File.php ( 7.84 KB )
  81. /yingpanguazai/ssd/ssd1/www/a.460.net.cn/vendor/topthink/framework/src/think/cache/Driver.php ( 9.03 KB )
  82. /yingpanguazai/ssd/ssd1/www/a.460.net.cn/vendor/topthink/framework/src/think/contract/CacheHandlerInterface.php ( 1.99 KB )
  83. /yingpanguazai/ssd/ssd1/www/a.460.net.cn/app/Request.php ( 0.09 KB )
  84. /yingpanguazai/ssd/ssd1/www/a.460.net.cn/vendor/topthink/framework/src/think/Request.php ( 55.78 KB )
  85. /yingpanguazai/ssd/ssd1/www/a.460.net.cn/app/middleware.php ( 0.25 KB )
  86. /yingpanguazai/ssd/ssd1/www/a.460.net.cn/vendor/topthink/framework/src/think/Pipeline.php ( 2.61 KB )
  87. /yingpanguazai/ssd/ssd1/www/a.460.net.cn/vendor/topthink/think-trace/src/TraceDebug.php ( 3.40 KB )
  88. /yingpanguazai/ssd/ssd1/www/a.460.net.cn/vendor/topthink/framework/src/think/middleware/SessionInit.php ( 1.94 KB )
  89. /yingpanguazai/ssd/ssd1/www/a.460.net.cn/vendor/topthink/framework/src/think/Session.php ( 1.80 KB )
  90. /yingpanguazai/ssd/ssd1/www/a.460.net.cn/vendor/topthink/framework/src/think/session/driver/File.php ( 6.27 KB )
  91. /yingpanguazai/ssd/ssd1/www/a.460.net.cn/vendor/topthink/framework/src/think/contract/SessionHandlerInterface.php ( 0.87 KB )
  92. /yingpanguazai/ssd/ssd1/www/a.460.net.cn/vendor/topthink/framework/src/think/session/Store.php ( 7.12 KB )
  93. /yingpanguazai/ssd/ssd1/www/a.460.net.cn/vendor/topthink/framework/src/think/Route.php ( 23.73 KB )
  94. /yingpanguazai/ssd/ssd1/www/a.460.net.cn/vendor/topthink/framework/src/think/route/RuleName.php ( 5.75 KB )
  95. /yingpanguazai/ssd/ssd1/www/a.460.net.cn/vendor/topthink/framework/src/think/route/Domain.php ( 2.53 KB )
  96. /yingpanguazai/ssd/ssd1/www/a.460.net.cn/vendor/topthink/framework/src/think/route/RuleGroup.php ( 22.43 KB )
  97. /yingpanguazai/ssd/ssd1/www/a.460.net.cn/vendor/topthink/framework/src/think/route/Rule.php ( 26.95 KB )
  98. /yingpanguazai/ssd/ssd1/www/a.460.net.cn/vendor/topthink/framework/src/think/route/RuleItem.php ( 9.78 KB )
  99. /yingpanguazai/ssd/ssd1/www/a.460.net.cn/route/app.php ( 1.72 KB )
  100. /yingpanguazai/ssd/ssd1/www/a.460.net.cn/vendor/topthink/framework/src/think/facade/Route.php ( 4.70 KB )
  101. /yingpanguazai/ssd/ssd1/www/a.460.net.cn/vendor/topthink/framework/src/think/route/dispatch/Controller.php ( 4.74 KB )
  102. /yingpanguazai/ssd/ssd1/www/a.460.net.cn/vendor/topthink/framework/src/think/route/Dispatch.php ( 10.44 KB )
  103. /yingpanguazai/ssd/ssd1/www/a.460.net.cn/app/controller/Index.php ( 4.81 KB )
  104. /yingpanguazai/ssd/ssd1/www/a.460.net.cn/app/BaseController.php ( 2.05 KB )
  105. /yingpanguazai/ssd/ssd1/www/a.460.net.cn/vendor/topthink/think-orm/src/facade/Db.php ( 0.93 KB )
  106. /yingpanguazai/ssd/ssd1/www/a.460.net.cn/vendor/topthink/think-orm/src/db/connector/Mysql.php ( 5.44 KB )
  107. /yingpanguazai/ssd/ssd1/www/a.460.net.cn/vendor/topthink/think-orm/src/db/PDOConnection.php ( 52.47 KB )
  108. /yingpanguazai/ssd/ssd1/www/a.460.net.cn/vendor/topthink/think-orm/src/db/Connection.php ( 8.39 KB )
  109. /yingpanguazai/ssd/ssd1/www/a.460.net.cn/vendor/topthink/think-orm/src/db/ConnectionInterface.php ( 4.57 KB )
  110. /yingpanguazai/ssd/ssd1/www/a.460.net.cn/vendor/topthink/think-orm/src/db/builder/Mysql.php ( 16.58 KB )
  111. /yingpanguazai/ssd/ssd1/www/a.460.net.cn/vendor/topthink/think-orm/src/db/Builder.php ( 24.06 KB )
  112. /yingpanguazai/ssd/ssd1/www/a.460.net.cn/vendor/topthink/think-orm/src/db/BaseBuilder.php ( 27.50 KB )
  113. /yingpanguazai/ssd/ssd1/www/a.460.net.cn/vendor/topthink/think-orm/src/db/Query.php ( 15.71 KB )
  114. /yingpanguazai/ssd/ssd1/www/a.460.net.cn/vendor/topthink/think-orm/src/db/BaseQuery.php ( 45.13 KB )
  115. /yingpanguazai/ssd/ssd1/www/a.460.net.cn/vendor/topthink/think-orm/src/db/concern/TimeFieldQuery.php ( 7.43 KB )
  116. /yingpanguazai/ssd/ssd1/www/a.460.net.cn/vendor/topthink/think-orm/src/db/concern/AggregateQuery.php ( 3.26 KB )
  117. /yingpanguazai/ssd/ssd1/www/a.460.net.cn/vendor/topthink/think-orm/src/db/concern/ModelRelationQuery.php ( 20.07 KB )
  118. /yingpanguazai/ssd/ssd1/www/a.460.net.cn/vendor/topthink/think-orm/src/db/concern/ParamsBind.php ( 3.66 KB )
  119. /yingpanguazai/ssd/ssd1/www/a.460.net.cn/vendor/topthink/think-orm/src/db/concern/ResultOperation.php ( 7.01 KB )
  120. /yingpanguazai/ssd/ssd1/www/a.460.net.cn/vendor/topthink/think-orm/src/db/concern/WhereQuery.php ( 19.37 KB )
  121. /yingpanguazai/ssd/ssd1/www/a.460.net.cn/vendor/topthink/think-orm/src/db/concern/JoinAndViewQuery.php ( 7.11 KB )
  122. /yingpanguazai/ssd/ssd1/www/a.460.net.cn/vendor/topthink/think-orm/src/db/concern/TableFieldInfo.php ( 2.63 KB )
  123. /yingpanguazai/ssd/ssd1/www/a.460.net.cn/vendor/topthink/think-orm/src/db/concern/Transaction.php ( 2.77 KB )
  124. /yingpanguazai/ssd/ssd1/www/a.460.net.cn/vendor/topthink/framework/src/think/log/driver/File.php ( 5.96 KB )
  125. /yingpanguazai/ssd/ssd1/www/a.460.net.cn/vendor/topthink/framework/src/think/contract/LogHandlerInterface.php ( 0.86 KB )
  126. /yingpanguazai/ssd/ssd1/www/a.460.net.cn/vendor/topthink/framework/src/think/log/Channel.php ( 3.89 KB )
  127. /yingpanguazai/ssd/ssd1/www/a.460.net.cn/vendor/topthink/framework/src/think/event/LogRecord.php ( 1.02 KB )
  128. /yingpanguazai/ssd/ssd1/www/a.460.net.cn/vendor/topthink/think-helper/src/Collection.php ( 16.47 KB )
  129. /yingpanguazai/ssd/ssd1/www/a.460.net.cn/vendor/topthink/framework/src/think/facade/View.php ( 1.70 KB )
  130. /yingpanguazai/ssd/ssd1/www/a.460.net.cn/vendor/topthink/framework/src/think/View.php ( 4.39 KB )
  131. /yingpanguazai/ssd/ssd1/www/a.460.net.cn/vendor/topthink/framework/src/think/Response.php ( 8.81 KB )
  132. /yingpanguazai/ssd/ssd1/www/a.460.net.cn/vendor/topthink/framework/src/think/response/View.php ( 3.29 KB )
  133. /yingpanguazai/ssd/ssd1/www/a.460.net.cn/vendor/topthink/framework/src/think/Cookie.php ( 6.06 KB )
  134. /yingpanguazai/ssd/ssd1/www/a.460.net.cn/vendor/topthink/think-view/src/Think.php ( 8.38 KB )
  135. /yingpanguazai/ssd/ssd1/www/a.460.net.cn/vendor/topthink/framework/src/think/contract/TemplateHandlerInterface.php ( 1.60 KB )
  136. /yingpanguazai/ssd/ssd1/www/a.460.net.cn/vendor/topthink/think-template/src/Template.php ( 46.61 KB )
  137. /yingpanguazai/ssd/ssd1/www/a.460.net.cn/vendor/topthink/think-template/src/template/driver/File.php ( 2.41 KB )
  138. /yingpanguazai/ssd/ssd1/www/a.460.net.cn/vendor/topthink/think-template/src/template/contract/DriverInterface.php ( 0.86 KB )
  139. /yingpanguazai/ssd/ssd1/www/a.460.net.cn/runtime/temp/80ec142d437acc197a4b556a08c383fc.php ( 11.98 KB )
  140. /yingpanguazai/ssd/ssd1/www/a.460.net.cn/vendor/topthink/think-trace/src/Html.php ( 4.42 KB )
  1. CONNECT:[ UseTime:0.001362s ] mysql:host=127.0.0.1;port=3306;dbname=aa460;charset=utf8mb4
  2. SHOW FULL COLUMNS FROM `fenlei` [ RunTime:0.002030s ]
  3. SELECT * FROM `fenlei` WHERE `fid` = 0 [ RunTime:0.000793s ]
  4. SELECT * FROM `fenlei` WHERE `fid` = 63 [ RunTime:0.000652s ]
  5. SHOW FULL COLUMNS FROM `set` [ RunTime:0.001862s ]
  6. SELECT * FROM `set` [ RunTime:0.000603s ]
  7. SHOW FULL COLUMNS FROM `article` [ RunTime:0.001797s ]
  8. SELECT * FROM `article` WHERE `id` = 500487 LIMIT 1 [ RunTime:0.006227s ]
  9. UPDATE `article` SET `lasttime` = 1776615140 WHERE `id` = 500487 [ RunTime:0.005432s ]
  10. SELECT * FROM `fenlei` WHERE `id` = 64 LIMIT 1 [ RunTime:0.000688s ]
  11. SELECT * FROM `article` WHERE `id` < 500487 ORDER BY `id` DESC LIMIT 1 [ RunTime:0.008343s ]
  12. SELECT * FROM `article` WHERE `id` > 500487 ORDER BY `id` ASC LIMIT 1 [ RunTime:0.001225s ]
  13. SELECT * FROM `article` WHERE `id` < 500487 ORDER BY `id` DESC LIMIT 10 [ RunTime:0.003402s ]
  14. SELECT * FROM `article` WHERE `id` < 500487 ORDER BY `id` DESC LIMIT 10,10 [ RunTime:0.004329s ]
  15. SELECT * FROM `article` WHERE `id` < 500487 ORDER BY `id` DESC LIMIT 20,10 [ RunTime:0.008765s ]
0.211048s