近日,南昌大学第二附属医院心内科杨人强教授团队应用经导管主动脉瓣置换系统(TaurusTrio)和经导管二尖瓣夹及可操控导引导管系统(MitraClipTM),成功为一例主动脉瓣脱垂伴大量反流合并二尖瓣腱索断裂伴大量反流患者实施了TAVR+TEER一站式经股微创介入手术。经过评估,该病例的解剖学极具挑战,在心血管内科、麻醉科、介入护理团队等相关科室的密切配合下,手术顺利完成。

此次手术的顺利开展,不仅进一步丰富了该院在心脏瓣膜联合病变微创治疗上的经验积累,更体现了南昌大学第二附属医院心血管内科对实现技术新突破上的不懈追求。
病例简介
基础信息:男,73岁。
主诉:反复胸闷半年余入院。心脏超声提示“左房左室增大,左室舒张功能减退,主动脉瓣右冠瓣、无冠瓣脱垂并中重度反流,二尖瓣前瓣A2A3区脱垂、后瓣栓系并重度反流(CarpentierⅡ+Ⅲb+Ⅰ型),三尖瓣中度反流、估测中度肺动脉高压,心包腔见少量积液”。2025年9月23日冠脉造影示左主干未见明显狭窄,前降支斑块,TIMI血流3级;回旋支弥漫性斑块,TIMI血流3级;右冠弥漫性斑块,TIMI血流3级。
术前诊断:
1.心脏瓣膜病;
2.二尖瓣脱垂伴关闭不全(前瓣脱垂/后瓣栓系并重度反流);
3. 主动脉瓣脱垂(右冠瓣与无冠瓣)伴主动脉瓣中重度反流;
4. 心功能Ⅳ级 ;
5.心包积液(少量);
6.高血压3级。
治疗难点与策略
治疗难点
1. 主动脉瓣反流,反流冲向二尖瓣口,若先处理二尖瓣可能会增加夹持的难度;
2. 主动脉瓣大瓣环,若用常规自膨瓣膜手术无法锚定,考虑使用带定位键TaurusTrio进行手术,瓣膜无冠瓣脱垂,给术中Trio定位键入窦夹持瓣叶操作带来一定挑战;
3. 前叶整体呈连枷状态,后叶有栓系,捕捞难度增加同时缠绕风险极高;
4. 病变范围大,Flail宽度达到约21mm,需要多夹。
术前策略
选择带定位键TaurusTrio先处理主瓣,考虑2区前叶连枷后叶栓系,缠绕风险高,先在3区前叶脱垂但未连枷Gap小的位置先植入一枚XTR,优先解决内侧反流同时增加瓣叶对合,减少第二枚夹子植入难度。

TAVR环节
主动脉瓣术前CTA评估


收缩期瓣环直径
27.7mm
收缩期LVOT 2mm
直径 27.8mm


收缩期LVOT 4mm
直径 28.5mm
收缩期LVOT 6mm
直径 29.5mm


SOV:39.6mm
SOV:36.8*35.0*39.2mm


瓣环平面夹角:46°
瓣下MS:2.5mm


左侧冠脉开口高度20.0mm
右侧冠脉开口高度21.2mm


左心室收缩期
左心室舒张期

外周入路情况良好


右侧股动脉分叉位置可
左侧股动脉分叉位置偏高
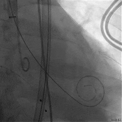
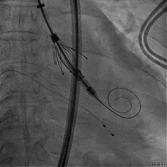
TAVR手术过程


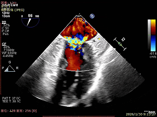
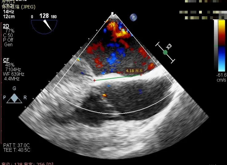
主动脉瓣大量反流
回撤导引鞘,定位键顺利展开


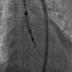
输送器调弯
定位键解离


推送入窦形态改变不明显
无窦瓣叶脱垂影响瓣叶夹持


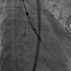
回撤后增加调弯夹持瓣叶
右窦中心造影确认瓣叶夹持


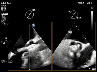
食道超声确认瓣叶夹持
经胸超声确认右冠瓣叶夹持


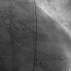
回撤MP导管,一键释放瓣膜
松弯后输送器回撤至大鞘,更换小鞘

术后右窦中心造影,无漏,无AVB

TEER环节
术前超声评估
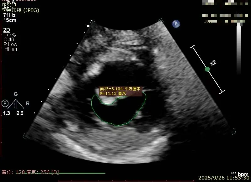
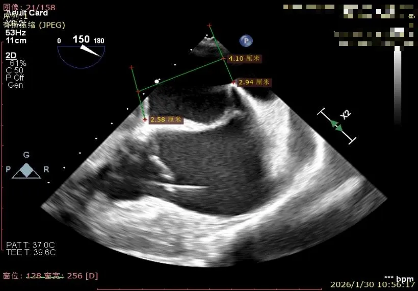
经胸超声报告提示:患者二尖瓣2区及3区前叶关闭时脱入左房,二尖瓣重度反流(MR 4+),患者LA前后径约52mm,LVEDD约68mm,LVESD约42mm,EF值:65%,经胸超声测二尖瓣瓣口面积约6.1cm2,主动脉瓣无冠瓣脱垂并中重度反流,三尖瓣中度反流,估测中度肺动脉高压。
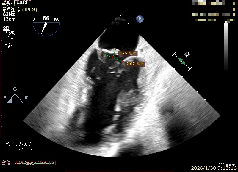
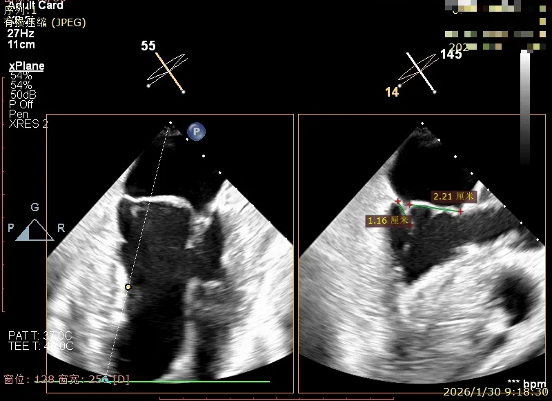
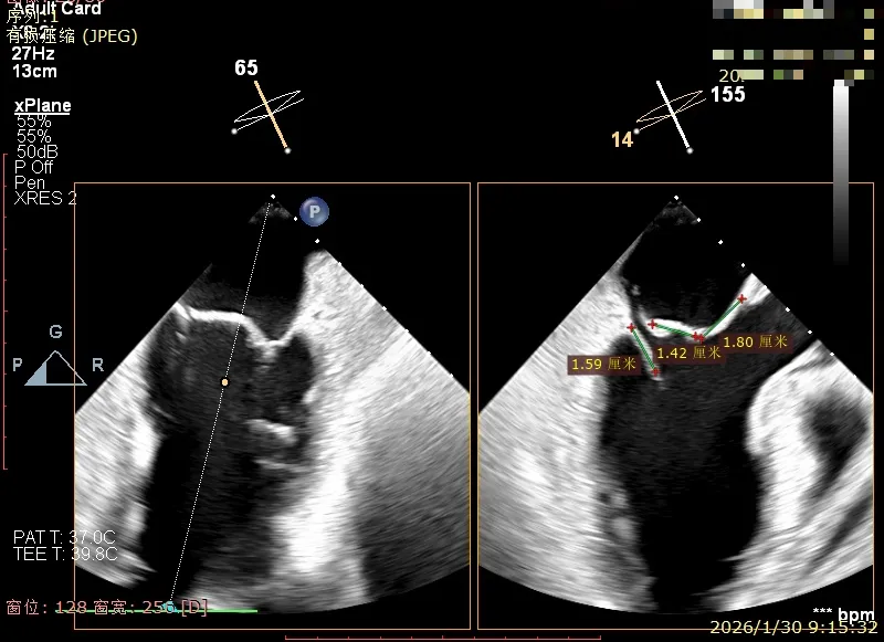
经食道超声精细化测量:肺静脉逆流,房间隔可穿刺高度约4.2cm,Flail宽度约21mm,Flail高度约8mm,Flail Gap约4mm, 3区AML长约23mm、PML长约12mm、2区AML约32.2mm,PML约16mm。


Bicomm切面看2区脱垂
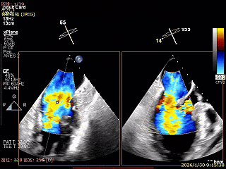
上Color,可见反流主要来自于3区


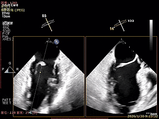
X-Plane切面切1区未见明显异常
1区上Color,未见反流来源


X-Plane切面切2区可见前叶Flail
2区上Color,可见反流来源


X-Plane切面切3区可见前叶脱垂
3区上Color,可见反流来源


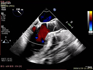
3D Enface 2区及3区前叶脱向左房
3D Enface 可见反流由2区3区从前后冲出


房间隔可穿刺高度约4.2cm
Flail宽度约21mm,Flail高度约8mm


经胸短轴测得瓣口面积约6.1cm2
3区前叶长度约22mm,后叶长度约11.6mm


2区前叶长度约32.2mm,后叶长度约16mm
2区Flail Gap约4mm
TEER手术过程
建立右侧股静脉入路,在食道超声引导下进行房间隔穿刺,获得穿刺高度4.1cm,交换Super Stiff超硬导丝至左上肺静脉,使用血管鞘扩张股静脉后,沿超硬导丝送入可操控导引导管(SGC)至左房,将第一枚二尖瓣夹输送系统(CDS-XTR)送入左心房。送入夹子过程中为避免碰到左房组织完成Straddle“骑跨”,顺利完成Straddle并将夹子打弯至二尖瓣环水平。接下来为避免发生缠绕在1区进行轨迹测试,使夹子的运动轨迹指向心尖。在心房侧打开夹臂,调整夹臂方向指向12点-6点方位,与二尖瓣对合缘垂直。完成调整后将夹子移动至3区位置,将二尖瓣夹关紧后缓慢送入左心室。在左室打开夹子重新确认Orientation。准确成功捕捞3区前叶脱垂及反流区域,确认瓣叶瓣尖稳定插入夹臂后,Gripper Down,观察到明显Bouncing后,关紧夹臂予以夹合,夹子内侧反流消失,夹子外侧还有残余脱垂及中量反流。考虑瓣叶长度11mm以上,瓣口面积足够,决定在外侧Side by Side再植入一枚XTR,植入两枚XTR后活动稳固,反流降至Trace。术后肺静脉逆流消失,二尖瓣平均跨瓣压差2mmHg。

房间隔穿刺高度4.1cm


SGC穿房间隔进入左房
第一枚XTR进入左房


在1区进行轨迹测试和Orientation调整
将调整好的夹子移动至3区下左室


在左室打开夹子确认Orientation
捕捞瓣叶,确定瓣叶瓣尖稳定插入夹臂后,Gripper Down


Gripper Down后Bouncing明显
夹子关紧后,前后叶受限明显


夹子内侧反流消失
夹子外侧残余脱垂与反流


3D Enface下组织桥稳定残余外侧前叶脱垂
3D Enface上彩可见夹子内侧无反流,残余外侧反流


送入第2枚XTR在左房调整轨迹及Orientation
进入瓣下重新确认Orientation及位置


捕捞瓣叶,确定瓣叶瓣尖稳定插入夹臂后,Gripper Down
关紧后,前后叶受限明显


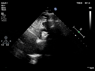
3D Enface下组织桥稳定无反流
夹子释放后,反流基本消失

LVOT切面可见主瓣二尖瓣术后反流基本消失

植入两枚夹子后二尖瓣平均跨瓣压差2mmHg

团队介绍
南昌大学第二附属医院心血管内科,拥有教育部心血管介入治疗与器械研究工程中心、江西省心脏血管疾病技术工程中心,江西省心血管疾病重点实验室等平台,荣获中国胸痛中心、全国首批胸痛中心示范中心、首批中国康复中心、心脏瓣膜病介入中心认证单位及国家卫健委及中国医师协会心血管介入(冠心病)培训基地,是江西省胸痛中心联盟、江西省研究型医院学会胸痛分会挂靠单位,2018年成为江西省胸痛中心建设牵头单位,2019年由中国胸痛中心总部授权登录中国胸痛中心质控管理平台,负责全省胸痛中心质控工作。冠心病亚专科技术力量雄厚,冠心病亚专科及瓣膜介入手术总例数及复杂程度全省名列前茅、国内前列,其中急性ST段抬高型心肌梗死均次费用连续多年全省最低。近年来,冠心病病区每年完成冠状动脉支架植入术近3000例(其中急性心肌梗死近1000例),复杂瓣膜手术200多例(包括经导管主动脉瓣植入术、二尖瓣缘对缘钳夹术、三尖瓣钳夹术、经皮肺动脉瓣瓣植入术),CAG术10000余例。
南昌大学第二附属医院心血管内科心脏瓣膜团队,联合心脏大血管外科、麻醉科、手术室、超声医学科等多个学科组成多学科团队,整合了多个部门精英骨干,聚焦经导管心脏瓣膜病介入治疗,制定了精细的术前筛查、手术计划,术中精诚合作,术后精细管理,为每一位心脏瓣膜疾病患者提供最优化的治疗方案。专科国内较早、省内率先开展经导管主动脉瓣植入术、经皮肺动脉瓣瓣植入术,省内率先开展二尖瓣缘对缘钳夹术、三尖瓣钳夹术、超声引导经心尖梗阻性肥厚型心肌病室间隔射频消融术及无保护左主干病变、钙化病变、慢性闭塞病变、分叉病变、弥漫病变、扭曲病变等复杂冠脉病变冠脉介入治疗,取得了良好的社会反响。
专家简介

杨人强
南昌大学第二附属医院
南昌大学第二附属医院心血管内科科主任,主任医师,医学博士,硕士生/博士生导师。
江西省胸痛中心质控中心主任,“井冈学者”特聘教授,江西省“千人计划”人才,江西省青年科学家,省百千万人才,省卫生系统学术和技术带头人,省卫计委有突出贡献中青年专家,中国医师协会心血管内科医师分会动脉粥样硬化学组委员,中国医促会心血管健康分会委员,全国介入培训基地冠脉介入培训导师,江西省医学会心血管病分会秘书长,江西省研究型医院学会心血管病分会主任委员。
主要研究方向为冠心病基础及临床诊治,擅长复杂冠脉介入治疗及瓣膜性心脏病介入治疗。在省内率先开展了经皮主动脉瓣置换术(自膨瓣及球扩瓣),极简式TAVR术等,人工心肺循环V-A模式支持下极高危复杂冠心病介入治疗,经皮准分子激光治疗冠脉支架再狭窄等新技术。近年主持国家十二五科技支撑计划、国家自然科学基金、江西省科技支撑重大项目等科研课题10余项。在《Nature Cardiology Review》等杂志发表学术论文八十多篇,参编专著10部,获国家专利3项,发明专利1项,获江西省自然科学二等奖等奖励7项。


周越
南昌大学第二附属医院
博士研究生,南昌大学第二附属医院心血管内科副主任医师,博士毕业于清华大学医学部 北京协和医学院 国家心血管病中心 中国医学科学院阜外医院,中国医药教育协会血管微创医学专业委员会委员,共主持国自然基金1项,省、厅级研究项目2项,发表SCI 10余篇。目前主要从事冠心病、肥厚型梗阻性心肌病及心脏瓣膜病的介入治疗。


张诗渊
南昌大学第二附属医院
南昌大学第二附属医院心血管内科介入超声室副主任医师。
中国超声医学工程学会第一届麻醉与疼痛超声专业委员会常委,中国超声医学工程学会第一届儿科超声专业委员会委员,江西省心脏瓣膜病介入中心联盟第一届委员会常委,江西省研究型医院学会心血管病分会委员,江西省卒中学会血管超声专业委员会委员。主持及参与国家及省级课题十余项,发表各类文章十余篇,其中SCI两篇。擅长心脏及血管浅表小器官超声,介入超声及造影。

-END-
更多内容推荐
单日4例MitraClip-TEER|喀什地区第一人民医院心血管内科中心开创南疆结构性心脏病发展新历程
热烈祝贺中国医科大学附属第一医院心脏瓣膜介入团队成为辽宁首家MitraClip技术培训中心
独立攻坚显担当!吉林大学白求恩第三医院贺玉泉团队再次完成两例MitraClip-TEER手术,彰显区域心血管介入诊疗强劲实力!

关注医谱 专业的心血管医生学术交流平台!


版权及免责声明:
本网站所发表内容知识产权归属医谱平台、主办方以及原作者等相关权利人,未经许可,禁止进行复制、传播、展示、镜像、转载、摘编等。经授权使用,须注明来源,否则将追究其法律责任。有关作品内容、版权和其他问题请与本网联系。
![]() | 获取更多资讯,点击“阅读原文”下载“医谱APP” |