
近日,南昌大学第二附属医院心内科在科主任杨人强教授的指导下,由陈琦、胡金柱、熊琴梅主任医师,熊亮、黄强辉、詹碧鸣副主任医师,余淼和董泉彬博士等组成的心电生理团队,成功为两名合并心脏血管畸形的房颤患者实施Farapulse脉冲消融手术(PFA)。其中一例为镜像右位心畸形的房颤患者,另一例为82岁高龄、合并脊柱畸形及下腔静脉畸形的房颤患者。Farapulse PFA导管作为多极可变PFA导管(即“one-shot”类PFA导管)的代表产品,具有高效、安全的优点,但对镇静麻醉的要求较高。目前国内绝大多数中心均在全身麻醉下开展此类手术。南昌大学第二附属医院心内科在麻醉科指导下,原创性地建立了适合心电生理专科医生的深度镇静方案,并成功为上述两例复杂、疑难手术提供镇静麻醉保障,突破了解剖、年龄及合并症等多重极限。两例手术均为国内首例针对此类心脏血管畸形的房颤PFA手术,标志着南昌大学第二附属医院在复杂心律失常诊疗领域迈入全国前列。据了解,南昌大学第二附属医院心电生理团队是国内首个具备房颤PFA术中自主实施深度镇静能力的电生理团队。
病例一
镜像右位心患者的PFA手术
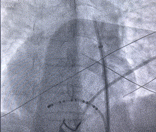
患者为61岁女性房颤患者,经CT、经胸及经食道心脏超声检查确诊为镜像右位心、右位主动脉弓罕见心脏畸形(发病率约十万分之一)。经科室讨论及与麻醉科、心脏大血管外科多学科会诊(MDT)后,决定在深度镇静保障下行三维引导的Farapulse PFA术。此为国内首例针对右位心患者实施的房颤PFA手术。

患者1镜面右位心影像图像
术中心电生理团队详细分析了患者异常解剖结构,克服解剖困难,完成镜向房间隔穿刺。在Ensite三维导航下使用Farapulse脉冲导管进行左房建模,针对镜像反位的肺静脉,术者调整至“镜面操作模式”,精准完成左右肺静脉异常电位隔离。结合本中心前期研究数据,根据消融过程中肌颤强弱的部位顺序,团队采用独特的消融顺序:左下肺静脉→左上肺静脉→右下肺静脉→右上肺静脉→上腔静脉,从而减少镇静药物用量,提高手术效率,降低镇静镇痛药物风险。核心消融过程仅用时20分钟,共放电41次,单次放电2.5秒。术后反复行左房刺激,均未诱发房颤、房扑及室上速,手术精准成功。




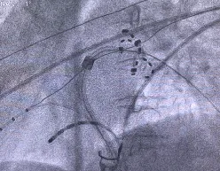
房间隔穿刺(左1左2)及肺静脉消融(右1:左下网篮状消融;右2:右下花瓣状消融)


消融放电前后电位图
病例二
高龄合并脊柱及下腔静脉畸形患者的PFA手术(全球首例)
患者为82岁女性,药物难治性阵发性房颤,合并肺气肿、高血压、严重脊柱侧弯/驼背及心脏转位。经MDT讨论,决定由心电生理专科医生团队自主管理深度镇静镇痛,实施PFA手术。
术中造影显示患者下腔静脉极度迂曲,无法经下腔静脉途径送入导管。团队果断改为左腋静脉入路,使用AccuSafe穿刺导丝联合Navigo 8.5Fr可调弯鞘进行房间隔穿刺,并采用本中心首创的Y阀造影剂显影方法确认进入左房。术中借助可调弯鞘灵活适配至上腔静脉入路角度,实现与房间隔稳定贴靠;依托穿刺导丝的滑脱保护及穿刺兼导引的双重安全特性,避免了误穿心包、主动脉及鞘管前冲损伤,在X线引导下精准、安全完成穿间隔操作,充分体现了团队的娴熟技术与应变能力。随后送入Farapulse PFA导管,对双侧肺静脉及上腔静脉进行消融隔离,共放电37次,验证完全阻断,手术获得成功(见图4)。



脊柱畸形患者CT图像(左)、术中下腔静脉影像(中)、电生理团队实施经左腋静脉入路PFA手术(右)




左1左2为房间隔穿刺过程;右1肺右上肺静脉花瓣状消融;右2:左上肺静脉网篮状消融


消融放电前后电位图
术后反馈与镇静方案优势
两例患者术后症状均明显改善,无明显不适,且对术中镇静体验反馈良好。本中心采用的深度镇静方案历经多年临床实践不断打磨,在麻醉科主任余树春教授带领的麻醉专业团队与心电生理团队良好合作下,提出了一套适合心电生理医生自主管理的独特镇静镇痛方案,该方案已在超过6000例心律失常介入手术中实施,无一例镇静镇痛相关严重并发症,并保持零气管插管记录,让我科心律失常介入治疗患者提供了舒适且安全的手术体验。随着PFA手术的推广使用,尤其是Single-shot类PFA导管,传统的镇静方案已经适应不了这种更高的镇静镇痛要求,因此在原有方案基础上,经麻醉科同仁指导,我们进一步改进形成了一套不同于国内外其他中心的、由心电生理医生自主管理的深度镇静镇痛原创方案,该深度镇静方案已在近百例介入手术中应用,无持续低氧血症发生,具备无需插管、患者无痛苦与躁动、咳嗽反应轻、可控性好、导管室占用时间短、整体手术时间短及苏醒时间短等优点,绝大多数情况下无需麻醉科协助,仅由心电生理专科医生即可完成手术,从而可以一定程度上解决我国麻醉专业人员短缺的现实问题,并可极大地节约患者及医保的医疗费用。患者体验也近乎完美,实现了无痛房颤手术的舒适医疗目的。
结语
专家简介

陈琦
南昌大学第二附属医院(点击查看专家详细简历)


余树春
南昌大学第二附属医院(点击查看专家详细简历)

胡金柱
南昌大学第二附属医院(点击查看专家详细简历)


熊琴梅
南昌大学第二附属医院(点击查看专家详细简历)
· END ·

版权及免责声明:严道医声网旨在搭建学术传播及媒体发声平台,文内信息版权属于持有人,我们只提供传递信息之用。如有侵权,请联系我们删除。
获取更多资讯,点击 “阅读原文” 下载 “严道医声APP”